19 年
手机商铺
技术资料/正文
383 人阅读发布时间:2024-10-11 14:48
肺癌是最致命、最常见的癌症类型之一。根据细胞来源,肺癌可以分为非小细胞肺癌(NSCLC)和小细胞肺癌(SCLC),其中约80%-85%为非小细胞肺癌。根据组织学特征,NSCLC 又分为肺腺癌、鳞状细胞癌和大细胞癌。近年来对于肺癌的大量研究也有助于发现肺癌治疗的靶向药物和提高患者的生存率。今天小优帮大家梳理一下肺癌的重要靶向信号通路及关键靶点,助力小伙伴们对肺癌的深入研究。
肺癌分类和特征
1、EGFR信号通路
表皮生长因子受体(EGFR)是酪氨酸激酶 I 型受体家族中的一员,分布在各种上皮细胞的细胞膜上,与表皮生长因子或肝素结合型 EGF 结合并调节细胞的生长。过去几十年来,酪氨酸激酶抑制剂一直被认为是治疗 NSCLC 的高效药物,也是极佳的靶向药物。目前已出现了多种针对表皮生长因子受体(EGFR)的药物,如吉非替尼、厄洛替尼、西妥昔单抗和帕尼单抗等等。NSCLC通过TK结构域突变(T790M)、MET扩增、RAS突变等形成耐药性。针对 KRAS突变的治疗策略可能会克服耐药性并提高疗效。
2、PI3K/AKT/mTOR 信号通路
PI3K/AKT/mTOR 通路被认为是 NSCLC 的潜在靶点。PI3K 信号通路调节各种细胞过程,包括细胞增殖、分化和凋亡,以及基因转录和蛋白质合成。已证实 PI3K/AKT/mTOR 通路可激活上游受体(EGFR和PDGFR),并在多种癌症中发生突变,包括乳腺癌、胃癌和 NSCLC。研究表明,在表达 PTEN 蛋白的 NSCLC 肿瘤中,约有 4% 发生了 PIK3CA 突变,而 PTEN 蛋白可抑制 PI3K/AKT/mTOR 通路。PI3K 抑制剂可提高 NSCLC 对化疗和放疗的敏感性。此外,mTOR 抑制剂靶向 PI3K 通路的下游分子,也显示出良好的抗肿瘤活性。
3、RAS–MAPK 信号通路
人类 RAS 基因家族(包括 KRAS、NRAS 和 HRAS)编码GTPases,通过不同途径调节细胞的增殖和发展。一些上游膜受体与 RAS 家族有关,如EGFR和FGFR。此外,一些下游的信号通路(RAS-MAPK 通路和 PI3K-AKT-mTOR 通路)通过 RAS 家族参与细胞分化和存活。肺癌中突变最多的 RAS 家族基因是 KRAS,KRAS 突变可能是 NSCLC 靶向治疗中耐药的因素。RAS 通路的许多下游受体,包括 RAF、MEK 和 mTOR,已作为 NSCLC治疗的潜在靶点。
4、JAK–STAT 信号通路
信号转导和转录激活因子(STAT)蛋白由 7 种不同的蛋白(STAT1、STAT2、STAT3、STAT4、STAT5A、STAT5B、STAT6 和 STAT7)组成,它们通过激活不同的蛋白来招募JAK激酶。JAK-STAT 信号通路在细胞分化、增殖和癌症进展中发挥着重要作用。STAT3 是研究得最多的 STAT 家族成员,被发现在各种类型的恶性肿瘤中发挥作用。此外,在肺癌中,STAT 通路可调控凋亡基因、抑制细胞生长并提高 EGFR-TKIs 的疗效。研究表面JAK/STAT 通路抑制剂可提高对NSCLC的抗肿瘤疗效并降低耐药性。
5、HER3信号通路
HER3(又称 ERBB3)是 HER 家族的独特成员,被认为是一种非活性受体。EGFR和HER4都有多个配体,而 HER3 只有一个配体,被称为HRG或NRG。当配体与EGFR或 HER3/4结合时可形成二聚化,并激活下游信号通路(如 JAK/STAT、MEK/MAPK 和 PI3K/AKT 通路以及其他一些通路)。 HER3的过度表达可增加癌细胞的转移潜力,从而促进肿瘤进展,研究表明在 NSCLC 中,EGFR受体突变时HER3高度激活。此外,HER3可通过与MET致癌基因结合激活NSCLC中的HER3/PI3K/AKT信号通路。因此,HER3是NSCLC的很有前景的治疗靶点。
肺癌关键致癌信号通路
激活剂和抑制剂
| 货号 | 名称 | 用途 |
| abs813132 | EGF-816 | EGFR抑制剂 |
| abs810001 | LY 294002 | PI3K抑制剂 |
| abs810575 | 3-MA | PI3K抑制剂 |
| abs821971 | Recilisib | AKT激活剂 |
| abs812028 | GSK690693 | Akt抑制剂 |
| abs810030 | Rapamycin | mTOR 抑制剂 |
| abs810367 | ML-141 | GTPase cdc42抑制剂 |
| abs810009 | SB202190 (FHPI) | p38MAPK抑制剂 |
| abs817541 | ZM 39923 hydrochloride | JAK1/3抑制剂 |
| abs810401 | WHI-P154 | JAK3抑制剂 |
| abs812053 | Stattic | STAT3抑制剂 |
在肺癌研究中,使用多重荧光免疫组化技术(mIHC)对关键指标进行检测是常用且高效的研究技术。mIHC和传统的免疫组化相比,具有以下的显著优势:
1. 多靶点同时检测:mIHC技术能够在单个组织切片上同时检测多个靶点,这对于研究肿瘤微环境中的复杂细胞相互作用尤为重要。通过提供细胞或组织内部靶标的空间定位信息,便于理解细胞间的关系和相互作用。
2. 更高的灵敏度和定量能力:mIHC技术具有较大的线性动态范围,通过酪胺信号放大(TSA)技术,mIHC可以显著增强抗原相关的荧光信号,使得低丰度的靶标也能被有效检测。
3. 减少样品消耗:通过在一张切片上进行多靶点分析,mIHC技术减少了对珍贵样品的需求,也适合大规模的生物标志物分析。
肺癌常用的IHC/mIHC的检测指标有:
肺腺癌:TTF-1、Napsin A、CK7、CK8、CK18、SP-A、SP-B
肺鳞癌:CK5/6、P63/P40、DSG3、
NETS:CD56、Syno、CgA、INSM1、TTF-1、CK、Ki-67
爱必信为您提供高质量的多重荧光免疫组化试剂盒和mIHC实验服务,助力肺癌研究。
爱必信多色试剂盒:最高六标七色,超高灵敏度,更宽广光谱覆盖和更精准信号区分,适合于多种样本类型(冰冻切片,石蜡切片,细胞爬片,组织芯片等),采用先进防淬灭技术。
肺癌mIHC试剂盒上新:内含完备一抗Panel,一站式解决方案。
肺癌肿瘤微环境I系列: PDL1、PD1、Ki67、50X2、GST-π
肺癌肿瘤微环境II系列: PDL1、PD1、Ki67、C-MET、MCM7
mIHC服务:基于多重荧光免疫组化技术深入研究肺癌肿瘤免疫微环境,挖掘与肿瘤相关的预测性生物标志物。
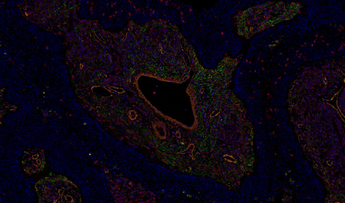
Absin mIHC实验服务结果展示

七色肺癌组织肿瘤免疫微环境THBS2,CD19,CD8,FOXP3,CD68,CD56

五色肺癌组织肿瘤免疫微环境THBS2,FAP,S100A4,αSMA
部分热卖产品
| 货号 | 名称 | 规格 |
| abs50083 | 肺癌肿瘤微环境多重荧光免疫组化检测试剂盒(I) | 20T |
| abs50084 | 肺癌肿瘤微环境多重荧光免疫组化检测试剂盒(I) | 20T |
| abs50015 | 七色多重荧光免疫组化染色试剂盒(鼠免通用二抗) | 20T/100T |
| abs50037 | 七色多重荧光免疫组化染色试剂盒(plus)(鼠免通用二抗) | 20T/100T |
| abs50014 | 六色多重荧光免疫组化染色试剂盒(鼠免通用二抗) | 20T/100T |
| abs50049 | 六色多重荧光免疫组化染色试剂盒(plus)(鼠免通用二抗) | 20T/100T |
| abs50013 | 五色多重荧光免疫组化染色试剂盒(鼠免通用二抗 | 20T/100T |
| abs50029 | 五色多重荧光免疫组化染色试剂盒(抗兔二抗) | 20T/100T |
| abs50012 | 四色多重荧光免疫组化染色试剂盒(鼠兔通用二抗) | 20T/100T |
| abs50028 | 四色多重荧光免疫组化染色试剂盒(抗兔二抗) | 20T/100T |
参考文献
【1】Yuan M, Huang LL, Chen JH, Wu J, Xu Q. The emerging treatment landscape of targeted therapy in non-small-cell lung cancer. Signal Transduct Target Ther. 2019 Dec 17;4:61. doi: 10.1038/s41392-019-0099-9. PMID: 31871778; PMCID: PMC6914774.
【2】Travis WD, Brambilla E, Riely GJ. New pathologic classification of lung cancer: relevance for clinical practice and clinical trials. J Clin Oncol. 2013 Mar 10;31(8):992-1001. doi: 10.1200/JCO.2012.46.9270. Epub 2013 Feb 11. PMID: 23401443.