19 年
手机商铺
公司新闻/正文
625 人阅读发布时间:2022-08-31 13:47

图1. 神经干细胞在不同环境下主要可分化为神经元、星形胶质细胞和少突胶质细胞
神经干细胞标志物
神经干细胞(NSCs)为基础研究和再生医学提供了一个独特而强大的工具。在专注于向特定神经谱系进一步分化的研究中,特异性分子表达水平的变化有助于识别神经干细胞的存在。
常用的神经干细胞标志物有Nestin和SOX2。其他表达于细胞表面的蛋白标志物有ABCG2、FGFR1和Frizzled-9
部分热门神经干细胞相关抗体:
| 靶点 | 货号 | 抗体类型 | 应用 | 序列一致性(小鼠/大鼠) |
| BLBp / FABP7 | AMAb90595 | 鼠单抗 | IHC, WB | 89%/90% |
| BMI | HPA030472 | 兔多抗 | IHC, WB* | 95%/95% |
| CD133 / PROML1 | HPA004922 | 兔多抗 | IHC* | 57%/60% |
| EGFR / ERBB1 | AMAb90819 | 鼠单抗 | WB | 90%/91% |
| EGR1 / INGFI-A | HPA029937 | 兔多抗 | ICC-IF | 93%/94% |
| PCGF5 | HPA038349 | 兔多抗 | IHC, ICC-IF | 95%/93% |
| REELIN / RELN | HPA046512 | 兔多抗 | ICC-IF | 90%/94% |
| SLC1A3 / GLAST | HPA037468 | 兔多抗 | IHC* | 93%/93% |
| TLX / NR2E1 | HPA055642 | 兔多抗 | IHC* | 99%/99% |
神经元标志物
神经元(神经细胞)是一种电兴奋细胞,在中枢神经系统和外周传递和传递神经信号。神经元通过突触进行交流,并根据其神经化学性质分为不同的功能类别。常见的神经元标志物包括:

图2. 用单克隆anti-NEFL抗体对神经纤维组织切片进行染色。A.人小脑在Purkinje cells的胞体和近端树突中表现出强烈的细胞质免疫反应性。B. 小鼠纹状体免疫荧光染色显示神经纤维呈强阳性。
部分热门神经干细胞相关抗体:
| 靶点 | 货号 | 抗体类型 | 应用 | 序列一致性小鼠/大鼠 |
| BRN2 / POU3F2 | AMAb91406 | 鼠单抗 | IHC, WB, ICC-IF | 100%/100% |
| BRN2 / POU3F2 | HPA056261 | 兔多抗 | ICC-IF | 100%/100% |
| FGFR1 | HPA056402 | 兔多抗 | IHC, WB | 94%/96% |
| FOXA2 | HPA050505 | 兔多抗 | IHC*, ICC-IF | 96%/82% |
| MAP2 | AMAb91375 | 鼠单抗 | IHC, WB, ICC-IF | 91%/90% |
| NEFL | AMAb91314 | 鼠单抗 | IHC, WB, ICC-IF | 97%/99% |
| NURR1 / NR4A2 | HPA000543 | 兔多抗 | IHC, ICC-IF | 100%/100% |
| PAX3 | HPA063659 | 兔多抗 | IHC, ICC-IF | 92%/92% |
| PAX3 | HPA069000 | 兔多抗 | ICC-IF | 98%/98% |
| PAX6 | AMAb91372 | 鼠单抗 | IHC, ICC-IF | 100%/100% |
| S100B | AMAb91038 | 鼠单抗 | IHC*, WB | 99%/98% |
| SOX11 | HPA000536 | 兔多抗 | IHC, WB | 82%/82% |
| SOX21 | AMAb91309 | 鼠单抗 | IHC, WB | - |
| SOX21 | HPA048337 | 兔多抗 | IHC | 96%/37% |
| SOX21 | HPA064084 | 兔多抗 | ICC-IF | 96%/37% |
| SOX4 | AMAb91378 | 鼠单抗 | IHC, ICC-IF | - |
| SOX4 | AMAb91380 | 鼠单抗 | IHC, ICC-IF | - |
| TBR2 / EOMES | HPA065458 | 兔多抗 | ICC-IF | 96%/96% |
| TUBB3 | AMAb91394 | 鼠单抗 | IHC, WB, ICC-IF | - |
星形胶质细胞
星形胶质细胞是中枢神经系统中主要的胶质细胞群。这些细胞来自发育中的中枢神经系统神经上皮的异质祖细胞群。
星形胶质细胞在大脑中发挥着许多积极的作用,包括分泌或吸收神经递质、离子稳态和维持血脑屏障。

图3. 使用单克隆抗体anti-GFAP对胶质纤维酸性蛋白(GFAP)进行染色。A. 脑皮质星形胶质细胞胞质阳性B. 大鼠海马免疫荧光染色显示星形胶质细胞阳性
部分热门星形胶质细胞相关抗体:
| 靶点 | 货号 | 抗体类型 | 应用 | 序列一致性小鼠/大鼠 |
| AQP4 | AMAb90537 | 鼠单抗 | IHC*, WB | 93%/92% |
| AQP4 | HPA014784 | 兔多抗 | IHC*, WB, ICC-IF | 93%/92% |
| AQP9 | HPA074762 | 兔多抗 | IHC* | 55%/55% |
| CD44 | HPA005785 | 兔多抗 | IHC*, WB*, ICC-IF | 51%/47% |
| GFAP | AMAb91033 | 鼠单抗 | IHC*, WB* | 98%/100% |
| GFAP | HPA056030 | 兔多抗 | IHC*, WB, ICC-IF | 98%/100% |
| GFAP | HPA063513 | 兔多抗 | IHC* | 100%/98% |
少突胶质细胞
少突胶质细胞是中枢神经系统和脊髓中主要功能的神经胶质细胞。
是在中枢神经系统轴突周围形成绝缘的髓鞘。此外,少突胶质细胞通过产生不同的生长因子,如BDNF和GDNF,为神经元提供营养支持。

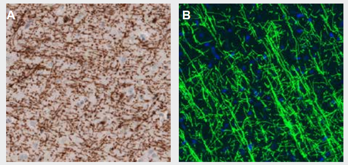
图4. 使用anti-MBP单克隆抗体对髓鞘碱性蛋白进行染色。A. 脑皮质在有髓纤维中表现出较强的免疫反应性B. 大鼠大脑皮层免疫荧光染色显示有髓鞘轴突具有较强的免疫反应性。
部分热门少突胶质细胞相关抗体:
| 靶点 | 货号 | 抗体类型 | 应用 | 序列一致性小鼠/大鼠 |
| CD140/PDGFRA | HPA004947 | 兔多抗 | ICC-IF | - |
| MBP | HPA049222 | 兔多抗 | IHC, WB | 97%/97% |
| OLIG2 | HPA003254 | 兔多抗 | IHC*, WB | 93%/94% |
| PROX1 | HPA000842 | 兔多抗 | ICC-IF | 100%/93% |
| PROX1 | HPA001030 | 兔多抗 | ICC-IF | 100%/99% |
| SOX10 | AMAb91297 | 鼠单抗 | IHC, ICC-IF | 98%/98% |
| SOX8 | HPA058665 | 兔多抗 | IHC*, ICC-IF | 73%/70% |
成年哺乳动物大脑中的神经祖干细胞
神经祖干细胞(NSCs)存在于成年哺乳动物的大脑中,并在整个生命过程中促进大脑的可塑性。
最初发现成人NSCs时,人们认为其功能是为新神经元提供再生来源,人们希望这些NSCs可能参与脑损伤后的功能性修复。
相反,更多的证据表明,内源性成人NSCs的主要功能是通过直接和间接的机制赋予大脑额外的可塑性层。
成体干细胞在维持组织组织的平衡中起着重要作用。转录因子对基因表达的调控是控制成年NSCs3的一个基本机制。
虽然明显缺乏突触,NSCs表达受体并对各种神经递质作出反应。
在成年哺乳动物的大脑中有两个主要的神经源性龛位,内源性NSCs位于侧脑室的室下区(SVZ)和海马齿状回内的颗粒下区(SGZ)。
大多数成年神经干细胞通过间隙连接和直接的细胞-细胞相互作用与其他细胞进行交流
*代表该应用经过更严格的验证。更严格的验证包括5步: 遗传验证、正交验证、独立抗体验证、重组表达验证和迁移捕获MS验证。
关于Atlas Antibodies
Atlas Antibodies是拥有超过21,000个一抗的原始制造商及供应商,这些抗体包括大量人类蛋白质靶点。Atlas抗体的开发基于人类蛋白质图谱(The Human Protein Atlas,HPA)数据库的基础上,提供经过高度验证的试剂,使生物学、诊断和医学领域的研究能够帮助人类健康的改善。其主要产品线之一——Triple A 兔多抗sTM(兔多克隆),在所有主要的人体组织和器官以及20个癌症组织中均得到验证,且每种抗体都有超过500张的染色图像支持。
• 基于人类蛋白质图谱(HPA)数据库而制造的抗体
• 抗体质量的验证方法严格基于国际抗体验证工作组(IWGAV)的检验标准
• 经过全球超过1000+文献的科学认证
Atlas Antibodies主要产品线包括:
• Triple A 兔多抗s™ (兔多克隆抗体)
• Precis A 鼠单抗s™ (鼠单克隆抗体)
• PrEST Antigens™ (抗原)
人类蛋白质图谱(The Human Protein Atlas, HPA)是基于抗体和转录组学对人类蛋白质组进行系统探索后呈现出来的强大的数据库。HPA数据库是完全免费开放的,可帮助研究人员探索人体中的蛋白质表达。该数据库由Tissue Atlas、Single Cell Atlas、Tissue Cell Atlas、Immune Atlas、Subcellular Atlas、Cell Atlas、Pathology Atlas、Brain Atlas、Blood Atlas、Metabolic Atlas 共10个部分组成,侧重于人类蛋白质分析的不同方面。
上海优宁维生物科技股份有限公司携手Atlas Antibodies为广大科研及工业客户带来品质优良价格实惠的各类针对人类蛋白质图谱的抗体产品。
上海优宁维生物科技股份有限公司
试剂 | 耗材 | 仪器 | 软件 | 定制 | 实验服务 | 供应链
免费热线:4008-168-068
咨询邮箱:info@univ-bio.com
订购商城:www.univ-bio.com
微信公众平台:优宁维抗体专家,欢迎关注!
小优博士(小程序):5大课堂, 让你的科研不再难!