19 年
手机商铺
公司新闻/正文
1442 人阅读发布时间:2022-09-02 11:08
His标签是一种流行的重组蛋白的添加物,以促进蛋白质的纯化和检测。His标签的使用通常优先于其他标签,因为可使用相对便宜的树脂进行纯化,如NiNTA。Anti-His Tag抗体能够检测标记的蛋白,从而筛选表达。多聚his标签通常由6个组氨酸残基组成,但也可能在3 - 10个组氨酸残基之间,通常位于重组蛋白的C端或n端。在这里,我们给大家介绍Jackson ImmunoResearch公司的Anti-His Tag抗体对his标记蛋白的WB和ELISA中的应用。

使用WB在细胞裂解液中筛选his标记的蛋白
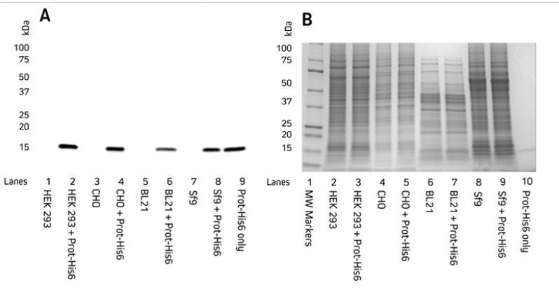
从细胞裂解物中筛选his标记的重组蛋白(构建)是抗his标签抗体的一种流行应用。Anti-His Tag抗体允许检测羧基端和氨基端his标记蛋白。图1展示了从哺乳动物、昆虫和细菌细胞裂解液中检测重组his标记蛋白的结果。

图 1:在一系列细胞裂解物中检测 His 标签蛋白。以100 ng的浓度将C末端His-Tagged蛋白添加到细胞裂解物中。将HEK 293、CHO、BL21 E.Coli和Sf9昆虫细胞的细胞裂解物还原并在100°C下煮沸5分钟,然后以9μg/孔的速度加载到串联SDS凝胶中。A.蛋白质印迹。将凝胶电印迹到硝酸纤维素膜上,用PBS/0.2% Tween 20中的5% BSA封闭,并用Jackson ImmunoResearch的HRP Rabbit Anti-His Tag (300-035-240)探测以1:20K稀释并使用数字成像仪进行可视化。 B.凝胶用Coomassie染色。
使用偶联的Anti-His Tag抗体进行直接检测法WB实验
Jackson ImmunoResearch公司的Anti-His Tag抗体可以直接使用HRP偶联物。图2和3显示了JIR公司的HRP Rabbit Anti-His Tag抗体可以在不同稀释倍数范围内使用,并且可以实现对不同his标记蛋白的敏感检测。Western blot检测的灵敏度可以通过间接进行检测来提高,使用偶联二抗体来实现以下部分所示的信号增强。

图2. WB实验结果显示使用两种浓度的HRP Rabbit Anti-His Tag抗体检测His-Tagged蛋白。
具体实验步骤:将重组His-Tagged蛋白还原,在100℃下煮沸5分钟,装入50、100和250 ng/孔的SDS凝胶中。将凝胶电泳到硝化纤维膜上,然后将膜减半,每组样品在1:5K或1:50K下使用Jackson ImmunoResearch的HRP Rabbit Anti-His Tag (300-035-240)进行探针检测。用数字成像仪显示得到的条带,1:5K印迹暴露3秒,1:50K印迹暴露21秒。

图3. 直接Western blot检测HRP兔抗- his Tag抗体对4种重组His-Tagged蛋白的检测限。
具体实验步骤:将4个重组His-Tagged蛋白还原,在100℃下煮沸5分钟,分别装入50 ng/孔和250 ng/孔的SDS凝胶中。1、2、4号通道含有c端标记蛋白,3号通道含有n端标记蛋白。将凝胶电泳到硝化纤维膜上,用Jackson ImmunoResearch的HRP Rabbit Anti-His Tag(300-035-240)稀释1:20K进行探针检测。结果的波段用数字成像仪显示出来。
将Anti-His Tag抗体与Anti-Rabbit偶联物结合,提高结果灵敏度
信号放大可以通过使用Anti-His Tag抗体和与Anti-Rabbit抗体(如HRP Goat Anti-Rabbit二抗)相结合的方法间接检测His标签来实现。图4显示,相对于直接检测法(A),使用间接两步法(B)可以提高灵敏度。


图4. 四种重组his标签蛋白的直接和间接Western blot检测比较。
具体实验步骤:将his标记的蛋白在含有5% β -巯基乙醇(BME)的SDS-PAGE加载缓冲液中煮沸并还原,并以50 ng/孔加载,详细信息如上。凝胶被电印迹到硝化纤维素上,并进行了印迹探测。A)直接:HRP Rabbit Anti-His Tag(300-035-240)稀释1:20K。B)间接法:Rabbit Anti-His Tag(300-005-240)稀释1:5K,然后使用HRP AffiniPure Goat Anti-Rabbit IgG (H+L) (min X Hu, Ms, Rat Sr Prot)(111-035-144)稀释1:20K。用数字成像仪对印迹进行可视化。
Anti-His Tag抗体在ELISA中的应用
图5显示了一系列重组His-Tagged羊驼VHH抗体的结合特性的变化,这些抗体从抗antigen X的活性筛选中分离出来,并通过ELISA进行分析。不同的纳米体的结合亲和力的变化可以被清楚地识别和以供实验人员进行选择。

图5. 使用HRP Rabbit Anti-His Tag (300-035-240) 在ELISA实验中对His标签蛋白进行检测
具体实验细节:
1.抗原包被:Antigen X以1μg/孔(100 ul, 10 μg/ml)涂于平板上。用1% Bovine Serum Albumin (IgG-Free, Protease-Free) (001-000-162)在PBST中阻断平板。
2.样本:5个纯化his标记的重组羊驼VHH抗抗原X抗体(Protein 1-5),连续稀释20 ng (100 ul @ 200 ng/ml); 1:2穿过盘子。
3.检测抗体:HRP Rabbit Anti-His Tag(300-035-240)按1:20 000稀释(每孔100 μl)。
4.平板与TMB在室温孵育30分钟,用平板阅读器在620 nm时读取实验数据。
使用ELISA筛选来捕获his标签蛋白
His-Tag提供了另一种捕获蛋白质的方法,这种方法在处理具有构象敏感性的蛋白质时可能很有用,它可以使蛋白质高于板表面,使更多的抗原表位可被免疫试剂接近。Anti-His Tag抗体的另一个应用是在目标蛋白特异性抗体有限的情况下,但该检测需要两种不同的抗体来生成三明治格式。通过His标签捕获,目标蛋白特异性抗体可用于检测与结合物种特异性二抗的复合物,允许最佳的信号扩增。His-Tag捕获还提供抗体介导的,快速和一致的抗原结合到ELISA板。

图6。Rabbit Anti-His Tag (300-005-240)间接夹心ELISA法检测his标记蛋白。
1.捕获抗体: AffiniPure Rabbit Anti-His Tag(300-005-240)包被1μg/孔(100 μl, 10 μg/ml)。用1% Bovine Serum Albumin (IgG-Free, Protease-Free)(001-000-162)在PBST中阻断平板
2.样品:His-Tagged SARS-CoV-2刺突蛋白RBD (Genscript - Z03483-100),负载在20 ng/孔(100 μl @ 200 ng/ml)。
3.检测抗体1:人抗sars - cov -2 IgG Spike S1抗体(Genscript A02038)。第一口孔40 ng (100 ul @ 400 ng/ml);连续稀释1:2横跨板。
4.检测抗体2:HRP Goat Anti-Human IgG, Fcγfragment specific (min X Bov, Ms, Rb Sr Prot) (109-035-170)稀释1:20 000 (100μl /孔)。
5.平板与TMB在室温孵育30分钟,用平板阅读器在620 nm读取。
*实验tip:在捕获过程中使用兔抗体时,建议使用与兔血清蛋白交叉吸附的检测抗体,以避免背景的产生。Jackson ImmunoResearch研的抗体,包括anti-human抗体,对多种宿主可以消除其交叉反应性,使得不同宿主物种都能消除高背景。
相关产品推荐:
| 货号 | 产品名 | 产品类别 |
| 300-035-240 | AffiniPure Rabbit Anti-His Tag | 一抗 |
| 300-005-240 | Peroxidase AffiniPure Rabbit Anti-His Tag | 一抗 |
| 300-055-240 | Alkaline Phosphatase AffiniPure Rabbit Anti-His Tag | 一抗 |
| 300-065-240 | Biotin-SP (long spacer) AffiniPure Rabbit Anti-His Tag | 指标一抗 |
| 300-545-240 | Alexa Fluor® 488 AffiniPure Rabbit Anti-His Tag | 指标荧光一抗 |
| 300-605-240 | Alexa Fluor® 647 AffiniPure Rabbit Anti-His Tag | 指标荧光一抗 |
| 300-625-240 | Alexa Fluor® 680 AffiniPure Rabbit Anti-His Tag | 指标荧光一抗 |
| 300-655-240 | Alexa Fluor® 790 AffiniPure Rabbit Anti-His Tag | 指标荧光一抗 |
| 109-035-170 | Peroxidase AffiniPure Goat Anti-Human IgG, Fcγ fragment specific(min X Bov, Ms, Rb Sr Prot) | 酶标二抗 |
关于JacksonImmunoresearch
Jackson ImmunoResearch Inc.是美国著名的二抗生产商。30年的专注,30年的发展,JIR公司除了提供各种酶标(如鼠兔酶标二抗)及荧光二抗(Alexa Fluor系列,Cy3/Cy5,PE等荧光标记),种类丰富,涉及物种齐全,标记多样,应用(WB/IF/IHC/FC)广泛,性价比高。

上海优宁维生物科技股份有限公司作为二抗金标准Jackson的全国代理商,携手Jackson为广大科研及工业客户带来品质优良价格实惠的各类二抗产品。
上海优宁维生物科技股份有限公司
试剂 | 耗材 | 仪器 | 软件 | 定制 | 实验服务 | 供应链
免费热线:4008-168-068
咨询邮箱:info@univ-bio.com
订购商城:www.univ-bio.com
微信公众平台:优宁维抗体专家,欢迎关注!
小优博士(小程序):5大课堂, 让你的科研不再难!