19 年
手机商铺
公司新闻/正文
511 人阅读发布时间:2022-11-29 15:07
病理学是研究人体疾病发生的原因、发生机制、发展规律以及疾病过程中机体的形态结构、功能代谢变化和病变转归的一门基础医学科学。在科学研究中,对病理的研究能够帮助分析和阐明。
① 病因学,即疾病发生的原因,包括内因、外因及其相互关系;
② 发病学,即在病因作用下导致疾病发生、发展的具体环节、机制和过程;
③ 病理变化或病变,即在疾病发生发展过程中,机体的功能代谢和形态结构变化以及这些变化与临床表现(症状和体征)之间的关系——临床病理联系;
④ 疾病的转归和结局。
组织学观察是将病变组织制成厚约数微米的切片,经不同方法染色后用显微镜观察其细微病变,从而千百倍地提高了肉眼观察的分辨能力,加深了对疾病和病变的认识,是最常用的观察、研究疾病的手段之一。
对于组织病理的研究流程主要如下,今天的分析也将从以下几个步骤来阐述我们在组织病理研究过程中能为科学研究提供的帮助

一、制片
Step1 新鲜组织的获取
获取组织时应注意:取材应尽量新鲜;动物组织可以灌流后取材;尽量避免损伤需要的部位;切取的组织块不宜太大(黄豆粒大小较为合适)。
Step2 样品前处理
根据实验需求选择石蜡切片/冰冻切片,再根据不同切片选择不同组织固定液。
4%多聚甲醛组织固定液在多种实验中都能够适用,是公认的适用性强、处理效果好的组织固定液。

4%多聚甲醛/通用型组织固定液
货号:abs9179
Step3 组织包埋
根据实验需求,选择石蜡包埋或OCT包埋。
1)包埋盒打号机能够帮助打印包埋盒标签,避免手动标记的繁琐步骤以及手动标记后标记被污染或不同人手写习惯不同导致的阅读偏差。
2)组织包埋机能够帮助完成组织的石蜡包埋步骤,在组织梯度浸蜡和包埋过程中提供实验帮助,自带冷台能够快速降温使石蜡冷却定型。

Step4 组织切片
石蜡切片厚度一般为3-5μm,冰冻切片厚度一般为10μm。制作石蜡切片时,除了切片,还有摊片和烤片等步骤。
轮转式石蜡切片机能够帮助组织切片过程。在石蜡组织切片后,还需要进行展片和烤片等步骤,摊片机能够帮助展片,在将蜡片捞上来后,烤片机能够使多余的水分蒸发,蜡片更紧密地贴合在载玻片上。

二、染色
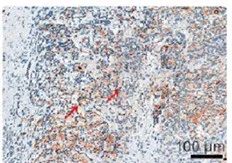
根据不同的实验需求,选择不同的染色方式,常见的染色方式有H&E、IHC、IF等。
爱必信(Absin),能够提供免疫组化/免疫荧光的全套解决方案
对于有特殊实验需求的客户,还有多重荧光免疫组化试剂盒,能够满足多指标的染色需求。多重荧光免疫组化试剂盒提供从4色到7色的解决方案,爱必信也为有需要的客户提供多色的实验服务。

苏木素-伊红(HE)染色试剂盒
货号:abs9217

即用型高效免疫组化二抗试剂盒
货号:abs957

五色荧光组化染色试剂盒(鼠兔通用二抗)
货号:abs50013
Absin 免疫组化全流程产品概览
IHC全套解决方案
| 分类 | 货号 | 产品名称 | 规格 |
| 固定 | abs9179 | 4%多聚甲醛/通用型组织固定液 | 500ml |
| 抗原修复(石蜡一定要做,冰冻和爬片可不做) | abs9249 | 柠檬酸钠-EDTA抗原修复液(40×) | 100ml |
| abs9207 | 冰冻切片快速抗原修复液(5×) | 100ml | |
| abs9208 | 细胞爬片抗原修复液(1X) | 100ml/500ml | |
| abs9247 | EDTA抗原修复液(50×) | 100ml | |
| abs9342 | Tris-EDTA抗原修复液(10×,pH9.0) | 100ml | |
| abs9248 | 柠檬酸钠抗原修复液(50×) | 100ml | |
| abs9336 | 胃蛋白酶抗原修复液 | 100ml | |
| 细胞通透(胞浆胞核指标需要) | abs9149 | Triton X-100/曲拉通X-100 | 100ml/500ml |
| 淬灭 (灭活内源性过氧化物酶和生物素) |
abs9333 | 过氧化物酶封闭液(H2O2法) | 100ml |
| abs9152 | 吐温-20 | 500ml/2.5L | |
| 封闭(二抗同来源血清) | abs933 | Goat serum | 10ml/50ml |
| abs935 | 驴血清 | 50ml | |
| abs9157 | 牛血清白蛋白 (BSA) | 100g | |
| 一抗 | 多指标IHC专用一抗(CD3、CD8、CD4、FOXP3、KI-67......) | ||
| abs9299 | 一抗二抗稀释液 | 100ml/1L | |
| 二抗 | 即用型二抗试剂盒(abs957、abs996、abs997、abs998) | ||
| HRP二抗 | |||
| 显色液 | abs9210 | DAB 显色试剂盒(棕黄色,IHC) | 1kit |
| abs9211 | DAB 显色试剂盒(蓝紫色,IHC) | 1kit | |
| 复染(可选) | abs9214 | 改良型Mayer's苏木素染液 | 100ml/500ml |
| 封片(DAB显色) | abs9177 | 中性树胶(镜检用永jiu封片剂) | 100ml |
| 缓冲液 | abs962 | 1×PBS缓冲液 | 500ml/500ml*10 |
| abs952 | 10*TBST | 100ml/1L | |
| abs9340 | PBST(1×,pH7.4) | 500ml | |
| 组化笔 | abs929 | PAP Pen 组化笔 | 1支 |
全套IF
| 分类 | 货号 | 产品名称 | 规格 |
| 固定 | abs9179 | 4%多聚甲醛/通用型组织固定液 | 500ml |
| 抗原修复(石蜡一定要做,冰冻和爬片可不做) | abs9249 | 柠檬酸钠-EDTA抗原修复液(40×) | 100ml |
| abs9207 | 冰冻切片快速抗原修复液(5×) | 100ml | |
| abs9208 | 细胞爬片抗原修复液(1X) | 100ml/500ml | |
| abs9247 | EDTA抗原修复液(50×) | 100ml | |
| abs9342 | Tris-EDTA抗原修复液(10×,pH9.0) | 100ml | |
| abs9248 | 柠檬酸钠抗原修复液(50×) | 100ml | |
| abs9336 | 胃蛋白酶抗原修复液 | 100ml | |
| 细胞通透(胞浆胞核指标需要) | abs9149 | Triton X-100/曲拉通X-100 | 100ml/500ml |
| 封闭(二抗同来源血清) | abs933 | Goat serum | 50ml |
| 一抗 | 多指标 | ||
| abs9299 | 一抗二抗稀释液 | 100ml/1L | |
| 荧光二抗 | 多种荧光素标记二抗 | ||
| 封片 | abs9235 | 抗荧光淬灭封片液(含DAPI) | 5ml/25ml |
| 缓冲液 | abs962 | 1×PBS缓冲液 | 500ml/500ml*10 |
| abs952 | 10*TBST | 100ml/1L | |
| abs9340 | PBST(1×,pH7.4) | 500ml | |
三、成像
主流的成像设备分为两种,显微镜和扫描仪,各方面的性能对比表如下

由此可知,在病理实验进程中,扫描仪能够为实验提供更大的帮助,同时扫描多张切片,连续缩放浏览,也可以通过电子文档的方式将玻片储存在病理切片库中,利于随时浏览分析。优宁维科学仪器事业部为您推荐江丰扫描仪,为病理切片成像提供良好的支持和帮助。
四、分析
在进行病理实验的时候,常常会有这样一个问题困扰大家——对切片进行染色之后,如何进行分析?分析的预期结果是什么?
全景数字病理图像分析平台HALO能够帮助你解决类似的困惑。
HALO是美国Indica Labs公司开发的一款病理分析软件,致力于病理分析,能够从不同角度帮助病理分析的进行,软件的主要功能包括组织分型、定量分析、空间分析以及流程模块。已发表文章1100多篇,IF 10分以上文章250多篇,全球排名前20的药企有19家都是HALO的用户。

HALO能够兼容多类图像格式,能够对当前视野和整张图像进行分析;应用领域广阔,包括肿瘤、代谢、药效/毒理、生物标志物分析和靶点评估等;独特优势是操作简单便捷,分析通量高且迅速,得到的数据结果精准且详细。
五、管理
在病理实验结束之后,实验者往往会有这样的苦恼——完成染色的玻片应如何处理?
在将图像进行扫描之后保存,清晰的扫描图像往往会占据大量内存空间,就需要外接硬盘来储存;在将图像与合作者进行分享的时候,这些大体积的图片又会使得分享过程变得复杂和麻烦;有时多人共享同一台工作电脑又会担心自己的研究成果泄露的问题。
HALO LINK图像管理系统能够帮助客户进行玻片管理、远程分析、安全共享和提供可视化服务;对于有需求的客户,尤其是企业客户,能给提供全面而有效的帮助。
上海优宁维生物科技股份有限公司
试剂 | 耗材 | 仪器 | 软件 | 定制 | 实验服务 | 供应链
免费热线:4008-168-068
咨询邮箱:info@univ-bio.com
订购商城:www.univ-bio.com
微信公众平台:优宁维抗体专家,欢迎关注!
小优博士(小程序):5大课堂, 让你的科研不再难!