19 年
手机商铺
公司新闻/正文
740 人阅读发布时间:2023-09-21 16:25
一、准备工作
1.仪器设备
CO2 培养箱、双人单面超净台、倒置显微镜、台式冷冻离心机、水浴锅(abs72023)或水浴摇床,医用冰箱、-80℃冰箱、移液器(一套)、眼科剪、眼科镊。
2.试剂耗材
人结直肠癌类器官培养基试剂盒(abs9445),基质胶(低因子、无酚红)(abs9495),60mm细胞培养皿(abs7005), 100μm滤筛(abs7009),15ml离心管(abs7102),1.5ml EP管若干(abs7119),24孔细胞培养板(abs7058)、金属冰盒、眼科剪刀、眼科镊。

人结直肠癌类器官培养基试剂盒(abs9445)
试剂盒组成
| 组分名称 | 规格 |
| 人结直肠癌类器官培养基 A | 100ml |
| 原代培养缓冲液 B | 250ml |
| 人结直肠癌原代组织消化液 C | 30ml |
| 类器官传代消化液 D | 30ml |
| 组织保存液 E | 100ml |
| 类器官冻存液 F | 20ml |
| 类器官传代培养缓冲液 G | 250ml |
基质胶(低因子、无酚红)(abs9495)
二、操作流程
1. 类器官操作流程之——样本准备
(1)将组织放入含有预冷的(2-8°C)组织保存液 E的取样瓶中(浸没整个组织),4℃从医院/实验室取回。
(2)将取样瓶消毒,组织取出放入培养皿样本拍照,并登记,大小,颜色,软硬程度,组织类型等信息。

2. 类器官操作流程之——清洗-剪碎
在60mm细胞培养皿(abs7005)里用2-3ml原代培养缓冲液 B浸泡。用原代培养缓冲液 B清洗三次(每次更换培养皿)后剪碎,剪成大约1-3mm3的组织块,静置2次。

3. 类器官操作流程之——消化-过滤
(1)向EP管中加入适量人结直肠癌原代组织消化液 C(消化液是组织体积的3-5倍)在37℃进行消化10-15min(消化过程中随时观察消化情况)。
(2)取少量液体在显微镜下观察,镜下观察到较多的单个细胞或 70um 以下的细胞簇后, 加入3倍体积原代培养缓冲液 B 终止消化,用枪头轻柔吹打可以看到液体变浑浊。

(3)使用100μm滤筛(abs7009)进行过滤,取少量滤液在镜下进行观察。将滤液收集到15ml离心管,于300g 4℃ 富集离心5min后移去上清(清洗一次),添加1ml左右原代培养缓冲液 B 转移到1.5mlEP管,重新重悬离心(清洗二次)。

4. 类器官操作流程之—离心、加胶
基质胶计算:第3步后观察收集到的组织体积,添加25倍组织体积的基质胶(abs9495)重悬铺板(金属冰盒或冰上操作)。
5. 类器官操作流程之——点胶-加液
以24孔细胞培养板为例,每孔点胶25ul组织基质胶混合物进行铺板((金属冰盒或冰上操作),将铺好的培养板放入37℃培养箱中10-15min成胶,添加500-750μl 人结直肠癌类器官培养基 A(恢复室温)进行培养。

6. 类器官操作流程之——观察

类器官原代培养D1 类器官原代污染
传代培养
一、类器官传代培养之-样本收集
1. 移液器吸去培养基,每孔添加 1-2ml 左右4℃类器官传代培养缓冲液G放置 2min。
2.移液抢轻柔吹打基质胶,收集在 15ml 离心管中,4℃静置 10min(每 6-8 孔为一组) 。

二、 类器官传代培养之-样本消化
1. 类器官数量不足或体积较小时:300g 4℃ 离心 5min 弃去上清,添加1ml类器官传代培养缓冲液 G重悬移入 1.5ml 离心管,300g 4℃ 离心 5min(如图5)弃去液体进行第3步。
2. 类器官数量较多或体积较大时:300g 4℃ 离心 5min 弃去上清,添加适量类器官传代消化液 D(是类器官悬液的1-2倍)超净台内消化 2-3min(中间可以吹打1-2次)(如图6) ,添加适量类器官传代培养缓冲液 G(缓冲液G:传代消化液D=5:1)终止消化,300g 4℃ 离心 5min 弃去上清,添加1ml类器官传代培养缓冲液 G重悬移入 1.5ml( 如图7) 离心管,300g 4℃ 离心 5min 弃去液体进行第3步。(如图4)


三、类器官传代培养之-铺板
类器官收集后,添加25倍基质胶重悬(基质胶体积:细胞沉淀体积=25:1),每孔25μl(如图8) 基质胶铺在 24孔细胞培养板中,放置培养箱中 10-15min 添加 500μl-750ul(如图9)人结直肠癌类器官培养基 A。

四、类器官传代后增殖现象

类器官冻存

1、移液器吸去培养基,每孔添加 1-2ml 左右4℃类器官传代培养缓冲液G放置 2min。
2、移液抢轻柔吹打基质胶,收集在 15ml 离心管中,4℃静置 10min(每 6-8 孔为一组) 。
3. 300g 4℃ 离心 5min 弃去上清,添加1ml类器官传代培养缓冲液 G重悬移入 1.5ml 离心管,300g 4℃ 离心 5min弃去液体。
4、添加适量类器官冻存液 F,轻柔吹打重悬,以24孔细胞培养板为例:密度为2个孔冻存 1管(500个/ml密度冻存),每管体积1.4ml。
5、冻存方法(1):将冻存管放入梯度冻存盒然后保存至-80℃过夜,第二天取出放入液氮罐。
冻存方法(2):4℃冰箱放置30 min,转移至-20℃放置1 h,最移至-80℃过夜,第二天取出放入液氮罐。
类器官复苏
1、实验前准备
将水浴锅预热至37℃;
细胞实验室进行常规消毒,用预防喷雾喷涂并且使用紫外线照射40min的超净工作台台面;
在超净工作台中按次序摆好消过毒的离心管、吸管、培养板等。

培养箱除菌剂 细胞房除菌剂
2、取出冻存管
根据细胞冻存记录按标签找到所需细胞的编号。
从液氮罐中取出冻存盒,取出所需的冻存管,同时核对冻存管外的编号。

冻存管(abs7163)

冻存管(abs72023)
3、迅速解冻
迅速将冻存管投入到已经预热的水浴锅中解冻,并要不断地摇动,使管中地液体迅速融化。约1-2min后冻存管内液体完全溶解,取出用酒精棉球擦拭冻存管地外壁,再拿入超净台内。
4、将类器官组织液移入15ml离心管,添加类器官传代培养缓冲液 G 10ml重悬,轻柔吹打混匀,300g 4℃ 离心 5min。
5、弃上清,添加1ml 类器官传代培养缓冲液 G重悬将沉淀转移至1.5ml EP管,300g 4℃ 离心 5min,弃去上清。
6、添加25倍基质胶(abs9495)重悬(基质胶体积:细胞沉淀体积=25:1),每孔25μl基质胶铺在 24孔细胞培养板中,放置培养箱中 10-15min 添加 500μl-750ul 人结直肠癌类器官培养基 A。

类器官鉴定
一、类器官鉴定-类器官收集

1、类器官收集
2、清洗1-3遍,洗去大部分基质胶,离心弃去大部分上清
二、类器官鉴定-琼脂糖凹槽制备

三、类器官鉴定-固定

四、类器官鉴定-包埋

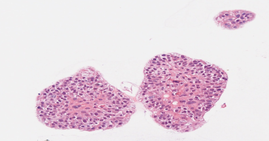
五、类器官鉴定-HE染色

六、类器官鉴定-HE染色结果(以肺癌为例) 
人肺癌类器官HE染色
上海优宁维生物科技股份有限公司
试剂 | 耗材 | 仪器 | 软件 | 定制 | 实验服务 | 供应链
免费热线:4008-168-068
咨询邮箱:info@univ-bio.com
订购商城:www.univ-bio.com
微信公众平台:优宁维抗体专家,欢迎关注!
小优博士(小程序):5大课堂, 让你的科研不再难!
