19 年
手机商铺
公司新闻/正文
1246 人阅读发布时间:2023-10-12 14:02
类器官HE染色、免疫组化、免疫荧光鉴定方法
我们辛辛苦苦养好的类器官,该如何做鉴定呢?通常是HE染色、免疫组化或免疫荧光。今天小爱带大家了解一下具体的染色步骤。
HE染色实验步骤
一、类器官收集

1、 类器官收集(例如24孔板,收集6-8孔类器官,大约1000-2000个类器官)
移液器吸去培养基,每孔添加 1-2ml 左右,移液抢轻柔吹打基质胶,收集在 15ml 离心管中,4℃静置 10min。300g 4℃ 离心 5min 弃去上清。
2、 类器官清洗
加入1ml PBS重悬移入 1.5ml 离心管,300g 4℃ 离心 5min弃去液体。
二、类器官固定
1、PFA固定
加入1ml 4%多聚甲醛(abs9179)至EP管,轻柔吹打混匀,至于4℃固定1h(最长不超过10h)。固定结束后,300g 4℃ 离心 5min 弃去上清。
2、 类器官清洗
加入1ml PBS重悬移入 1.5ml 离心管,300g 4℃ 离心 5min弃去液体。
三、类器官琼脂糖包埋
1、称量0.2至0.4g琼脂糖,加入至烧杯或者小试剂瓶内,加入10mL左右PBS。微波炉高火融化,每隔5s暂停打开,观察,重复数次至琼脂糖融化完全。
2、待琼脂糖溶液降温至50-60℃,取20-50uL融化琼脂糖溶液,加入至1.5ml EP管重悬类器官沉淀,冰上放30min,待其凝固。
四、类器官石蜡包埋
1、脱水:取出已凝固的含有类器官沉淀的琼脂糖块,在梯度乙醇中脱水,70%、80%、90%和95%乙醇各1h,100%乙醇30min,待其凝固;
2、融蜡:提前4h左右打开烘箱,65℃溶蜡;
3、透明:将脱水完成后的琼脂糖块转移至组织包埋盒中(二甲ben处理前需一直浸泡在无水乙醇中),将包埋盒转移至二甲ben中5min处理两次;注:因二甲ben有毒性,需在通风良好区域进行操作,取出时尽量沥尽残留二甲ben。
4、浸蜡:透明化处理完成后立即转入已经融化的蜡缸中,60℃浸蜡2h后,更换新的蜡缸再次浸蜡2h;
5、包埋:包埋在冰盒上进行,将融好的纯蜡倒入蜡盒三分之一处,将琼脂块放置于中间位置,然后再滴蜡包埋直到倒满。待蜡块完全凝固后,小心脱下模具。

6、切片:将包埋好的蜡块固定于切片机上,切成薄片,一般是5-8um厚,并用小镊子将包含有完整组织的切片置于40°C温水中。
7、捞组织:组织受热展开,最好是组织不起皱纹,用载玻片捞组织时,一般取载玻片的下1/3或者下1/2,一般每种组织捞5-6张,其中2-3张是备用的,每张载玻片上通常捞两份组织,做对照使用,这样形成的误差就比较小了,而且捞载玻片的时候最好方向一致,以便观察,再将捞出来的载玻片置于架子上,放入37°C温箱中烘干。
五、类器官HE染色
1、脱蜡至水:依次将切片放入二甲benI 10min;二甲benⅡ10min;无水乙醇Ⅰ5min;无水乙醇Ⅱ5min;95%酒精5min;90%酒精5min;80%酒精5min;70%酒精5min;蒸馏水洗。
2、苏木素染细胞核:切片入Harris苏木素染3-8min,自来水洗。
3、伊红染细胞质:切片入伊红染液中染色1-3min,自来水洗。
4、脱水封片:将切片依次放入95%酒精I 5min ;95%酒精II 5min;无水乙醇Ⅰ5min ;无水乙醇Ⅱ5min ;二甲benⅠ5min ;二甲benⅡ5min中脱水透明,将切片从二甲ben拿出来稍晾干,中性树胶封片。
5、显微镜镜检,图像采集分析

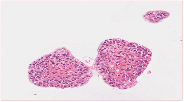
六、类器官鉴定-HE染色结果(以肺癌为例)

免疫组化实验步骤
将HE染色步骤里脱蜡后的切片进行如下处理:
1. 抗原修复:加入3%H2O2浸泡10min,从而除去内源性的过氧化氢酶,然后倒掉H2O2,在清水中洗两次,再加入柠檬酸缓冲液,放入微波炉中蒸煮3min(中火),一般刚到沸腾即可,冷却至室温,然后再蒸煮一次,冷却至室温,蒸煮的目的是为了使抗原的位点暴露出来。
2. 血清封闭:冷却至室温后,将柠檬酸缓冲液倒掉,水洗2次,并将载玻片置于PBS中5min,洗2次,擦干组织周围的PBS液,马上加上血清,使一些非特异 性的位点封闭起来,然后放入37°C温箱中半小时。血清稀释10倍(900µlPBS:100µl血清封闭液)。
3. 加一抗:将温箱中的载玻片取出,用吸水纸擦干载玻片反面和正面组织周围的血清,加一抗,如果做对照实验,就在对照的组织上加PBS。加完一抗后于4°C冰箱中保存过夜。
4. 加二抗:将载玻片从冰箱中取出,放入PBS中洗3次,每次5min,擦干组织周围的PBS后加上二抗,然后置于37°C温箱中半小时。
5. 加SABC: 将片子从温箱中取出,,放入PBS中洗3次,每次5min,擦干组织周围的PBS后加上SABC, 然后置于37°C温箱中半小时。SABC稀释100倍(990µlPBS:10µlSABC)。
6. 加显色剂:将片子从温箱中取出, 放入PBS中洗3次,每次5min,擦干组织周围的PBS后加上显色剂。(显色剂的配置:在1ml水中加1滴显色剂A,摇匀,然后加1滴显色剂B,摇匀, 再加1滴显色剂C,摇匀,A:DAB, B:H2O2,C:磷酸缓冲液)
7. 复染:将显色后的片子用清水冲洗一段时间后,浸泡于苏mu精中染色半分钟。
8. 脱水:将复染后的片子置于水中冲洗后,依次将载玻片放入70%酒精-80%酒精-90%酒精-95%酒精-100%酒精-100%酒精-二甲ben-二甲ben。每个试剂中放置2min,最后浸泡在二甲ben中,搬到通风柜中。
9. 封片:用中性树胶滴在组织旁边,再用盖玻片盖上,要先放平一侧,然后轻轻放下另一侧,以免产生气泡,封好片子后置于通风柜中晾干。

免疫荧光实验步骤
将免疫组化步骤里一抗孵育后的切片进行如下处理:
1. 加荧光二抗:PBS浸洗3次,每次3 min,吸干切片上多余液体后滴加稀释好的荧光二抗,湿盒中37℃孵育1h,PBS浸洗3次;注意:从加荧光二抗起,后面所有操作步骤都尽量避光操作;
2. 复染核:滴加DAPI避光孵育5 min,对标本进行染核,用PBS清洗4次,洗去多余的DAPI;
3. 封片:防荧光淬灭封片剂封片、荧光显微镜观察。
本期小爱推荐
| 货号 | 品名 | 规格 |
| abs44056210 | 琼脂糖 | 100g |
| abs42155596 | 石蜡 | 500g |
| abs962 | 1×PBS缓冲液 | 500ml/500ml*10 |
| abs9222 | 伊红染液 | 100ml |
| abs9214 | 苏木素染液 | 100ml /500ml |
| abs9177 | 中性树胶 | 100ml/ 100ml×10 |
| abs7119 | 1.5ml离心管(无菌无酶) | 1袋/1箱 |
| abs7118 | 0.5ml离心管(无菌无酶) | 1袋/1箱 |
| abs9444 | Organotial人肝癌类器官培养基试剂盒 | 1kit |
| abs9445 | Organotial人结直肠癌类器官培养基试剂盒 | 1kit |
| abs9443 | Organotial人肺癌类器官培养基试剂盒 | 1kit |
| abs9449 | Organotial人胃癌类器官培养基试剂盒 | 1kit |
| abs9447 | Organotial人胰腺癌类器官培养基试剂盒 | 1kit |
| abs9589 | Organotial人鼻咽癌类器官培养基试剂盒 | 1kit |
| abs9446 | Organotial人乳腺癌类器官培养基试剂盒 | 1kit |
| abs9558 | Organotial人卵巢癌类器官培养基试剂盒 | 1kit |
| abs9590 | Organotial人宫颈癌类器官培养基试剂盒 | 1kit |
| abs9448 | Organotial人子宫内膜癌类器官培养基试剂盒 | 1kit |
| abs9739 | Organotial人脑胶质瘤类器官培养基试剂盒 | 1kit |
上海优宁维生物科技股份有限公司
试剂 | 耗材 | 仪器 | 软件 | 定制 | 实验服务 | 供应链
免费热线:4008-168-068
咨询邮箱:info@univ-bio.com
订购商城:www.univ-bio.com
微信公众平台:优宁维抗体专家,欢迎关注!
小优博士(小程序):5大课堂, 让你的科研不再难!
