19 年
手机商铺
公司新闻/正文
445 人阅读发布时间:2024-07-11 10:30
1、摘要
通过原位杂交(ISH)技术,可以实现DNA或RNA靶标在福尔马林固定、石蜡包埋(FFPE)细胞和组织样本中的空间和时间定位,同时保持细胞或组织形态。ISH用于病毒感染的识别和定位,转录活性核酸的分析及其在细胞和组织中的分布,以及确定基因表达的位置。免疫组织化学(IHC)显示蛋白质在细胞和组织样本中的定位,而ISH可以帮助识别细胞的起源。为了取得成功的结果,我们使用了AMPIVIEW™ ISH探针,它结合了靶向、序列特异性RNA探针的精确度和LoopRNA™ 技术的卓越灵敏度,使它们与IHC使用的纳米聚合物检测系统兼容。这一功能强大的工具可以设计用于检测核酸表达模式和单个靶标的空间定位,或者DNA-RNA、RNA-RNA相互作用。此外,当ISH和IHC结合使用时,可以用来研究组织中RNA和蛋白质的相互作用。这篇文章解释了这些探针如何不仅用于检测SARS-CoV-2和人乳头状瘤病毒(HPV)等病毒,而且还用于检测FFPE组织样本中HER2/neu等内源性生物标志物的表达。
2、介绍
空间生物学是对组织微环境的研究,即在保持组织结构和组织完整的同时,探询组织样本中多个基因和蛋白质的原始定位。这可以通过显微镜、各种染色、抗体和探针来实现,使科学家能够评估组织样本中的每个细胞、它们的含量和位置、确定细胞-细胞关系的能力、细胞状态以及每个生物标记物如何影响其微环境。
细胞是能够维持生命的最小结构。它们构成了所有的生物,从单细胞有机体到数十亿细胞的动物。细胞可以在类型、大小和形状上有所不同,特别是在由100万亿个细胞组成的人体中,但它们都履行着相同的基本生命功能--使用能量、对环境做出反应和繁殖。细胞由三部分组成:细胞膜、细胞核和细胞质(图1A)。
组织样本包含一组具有相似结构和功能的细胞作为一个单元(图1B)。人体有四种主要的组织类型:上皮组织、结缔组织、肌肉组织和神经组织。每个组织都执行特定的功能。

图1细胞与组织 (A)细胞由细胞膜、细胞质和细胞核组成。(B)组织是一组细胞,它们作为一个单位一起发挥作用。
蛋白质是利用DNA、RNA和各种酶在细胞中合成的。它通常包括细胞核内的转录(DNA和RNA)、细胞质中的翻译(mRNA)和翻译后修饰(蛋白质)事件。为了检测组织标本中的核酸和蛋白质,采用原位杂交(ISH)检测DNA和RNA,免疫组织化学(IHC)检测蛋白质。
ISH是一种用DNA或RNA探针对福尔马林固定、石蜡包埋的(FFPE)细胞和组织样本中的特定核酸序列进行精确空间定位和检测的方法。IHC是一种用抗所需目标的抗体对FFPE细胞和组织中的蛋白质标记物进行染色和可视化的技术(图2B)。ISH和IHC都用于检测生物分子标记(DNA、RNA或蛋白质),而不破坏组织形态。

图2 ISH与IHC(A)ISH的工作流程从抗原恢复到成像以检测组织和细胞中的核酸目标。(B)IHC的工作流程从抗原恢复到成像,以检测组织和细胞中的蛋白质目标。
这篇文章介绍了AMPIVIEWTM RNA ISH探针,它的设计具有靶向、序列特异性RNA探针的精确度,由Enzo的LoopRNA ISH™技术提供动力,为检测目标基因提供了卓越的灵敏度。
3、实验方法
免疫组织化学(IHC)采用Enzo的抗体和POLYVIEW® PLUS AP或HRP检测溶液,以及相应的HIGHDEF®色原。
原位杂交(IHC)用AMPIVIEWTM RNA探针、POLYVIEW® PLUS HRP或AP检测试剂、DIGX® anti-digoxigenin linker、HIGHDEF®色原。
4、AMPIVIEWTM RNA探针
(1)实验流程

(2)AMPIVIEWTM ISH流程

SAVIEW® PLUS AP或HRP试剂可用于生物素化探针,或POLYVIEW® PLUS AP或HRP可与连接物结合。SAVIEW® PLUS或POLYVIEW® PLUS与相应的HIGHDEF®色原相结合,可提供清晰、清晰的染色效果。
5、结果
(1)高特异性
AMPIVIEW™ RNA探针与竞争对手的产品相比,具有更高的特异性和更低的背景(图3)。

图3.(A)用AMPIVIEW™ HPV高危RNA探针在宫颈癌组织中检测到HPV高危型16、18、31、33、51(红色)。(B)竞争对手的高危HPV探针(棕色)在相同条件下进行测试。
(2)正义和反义的探针
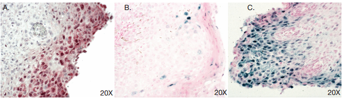
正义探针(靶DNA)和反义探针(靶DNA和RNA)的信号比较表明,针对HPV16/18的反义探针在SiHA(1,3拷贝的HPV)细胞中产生了更强的信号。
在C33(无HPV拷贝)细胞中未检测到HPV16/18时,确定特异性(图4)。

图4.(A)AMPIVIEW™ HPV 16/18正义RNA探针检测SiHa细胞中的HPV 16/18。(B)AMPIVIEW™HPV16/18反义RNA探针检测SiHA细胞中的HPV16/18。(C)用AMPIVIEW™ HPV 16/18反义RNA探针检测C33细胞中的HPV 16/18。
(3)HPV检测
AMPIVIEW™的RNA探针专用于HPV 16/18/31/33/51,HPV 6/11和HPV 16/18。(图5)

图5.(A)用AMPIVIEW™ HPV 高危RNA探针在感染HPV的宫颈组织中检测HPV。(B)用AMPIVIEW™ HPV 6/11 RNA探针在感染HPV的宫颈组织中检测HPV。(C)用AMPIVIEW™ HPV 16/18 RNA探针在感染HPV的宫颈组织中检测HPV。
(4)ISH和IHC对比
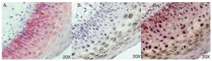
用AMPIVIEW™ 高危RNA探针检测HPV感染的宫颈组织中p16的结果与IHC结果一致。IHC和ISH可以同时运用进行实验(图6)。

图5.(A)p16的检测(红色)。(B)用AMPIVIEW™ 高危HPV RNA探针检测HPV(棕色)。(C)用p16抗体(红色)和AMPIVIEW™ HPV高危RNA探针(棕色)检测HPV感染的宫颈组织中的p16
6、结论
AMPIVIEW™ RNA探针是由Enzo的LoopRNA ISH™技术提供的高度特异的探针,以提供卓越的灵敏度。探针的设计使其适用于任何工作方式(手动或自动),并与现有的IHC检测系统和ISH设置兼容。这一创新使在组织结构中基因表达可视化和使用光学显微镜分析成为可能。
AMPIVIEW™ RNA探针可以设计成检测任何感兴趣的基因和转录,具有无限的潜力。
参考文献
1.Pardue, MJ; Gall, JG, “Molecular Hyrbidization of Radioactive DNA to the DNA of Cytological Preparations,” PNAS, vol. 64, no. 2, pp. 600-604, 1969.
2. Wang . F. et. al., “RNAscope: a novel in situ RNA analysis platform for formalin-fixed, paraffin-embedded tissues.,” Journal of Molecular Diagnosis, vol. 14,, pp. 22-29, 2021.
3. La Rocca, G. et al. “Recent improvements in in situ hybridization for the detection of HPV infections in clinical samples.,” World Cancer Research Journal, 2020.
4. Nuovo GJ, et al. “A Standardization Protocol for the In Situ Detection of SARS-CoV2 RNA and Proteins.” Appl Immunohistochem Mol Morphol. 2022 Feb 1;30(2):83-90.
关于Enzo Life
Enzo Life做为分子诊断领域的先驱者,可提供包括基因、蛋白、细胞、组织全层面的标记和检测试剂,如原位杂交探针、活细胞荧光探针、组化试剂盒、小分子化学文库等。除了科研领域外,Enzo Life还给提供多样的生物工艺质量检测试剂盒(如Protein A残留检测盒,HCP残留检测等 )

上海优宁维生物科技股份有限公司
试剂 | 耗材 | 仪器 | 软件 | 定制 | 实验服务 | 供应链
免费热线:4008-168-068
咨询邮箱:info@univ-bio.com
订购商城:www.univ-bio.com
微信公众平台:优宁维抗体专家,欢迎关注!
小优博士(小程序):5大课堂, 让你的科研不再难!