1、什么是蛋白marker?
蛋白Marker,也称为蛋白质分子量标准(Protein Molecular Weight Marker),是用于蛋白质电泳分析中的一系列已知分子量的蛋白质混合物。它们通常包含多个不同分子量的蛋白质条带,这些条带在电泳过程中会根据分子量的大小和电荷差异迁移不同的距离,从而在凝胶上形成一系列有序的条带。
2、Marker在WB中的作用?
分子量标定:Marker包含一系列已知分子量的蛋白质,通过与Marker上的带状蛋白质带进行比较,可以精确地确定待测蛋白的分子量。
验证电泳和转印效果:Marker在电泳和转印的过程中移动到膜上,可以帮助研究者验证这些步骤的效果。通过检查Marker的带状分布,可以确保电泳和转印过程中没有发生异常。
确定蛋白质迁移距离:通过测量Marker的迁移距离,可以估算待测蛋白质的迁移距离。这对于进一步的数据分析和结果解释非常重要。
标定凝胶浓度:Marker还可以用于帮助研究者选择适当的凝胶浓度。不同分子量的Marker在不同的凝胶浓度下会产生不同的迁移模式,因此可以根据Marker的迁移特性选择合适的凝胶浓度。
3、Marker有哪些分类,各有什么特点?
天然蛋白Marker:
这类Marker是从自然来源提取的蛋白质,它们经历了天然的修饰过程,如裂解、二硫键形成、糖基化或磷酸化,并保持其复杂的3D结构。天然蛋白Marker更接近其在体内的自然状态,这使得它们在药物开发和生物医学研究中非常有用。天然蛋白Marker可以提供更准确的分子量估计,因为它们未经过重组或合成,保持了蛋白质的自然特性。abs9919 非变性蛋白 Marker (66-669kDa),经过非变性电泳后,用考马斯亮蓝染色后可以得到分布均匀、密度相近的 4 条带,不适用于SDS-Page,因为在 SDS 存在下,含有多个亚单位的蛋白会不同程度解聚。
abs9919 非变性蛋白 Marker (66-669kDa)
变性Marker:
这类Marker在生产过程中经过了变性处理,通常是通过加热和化学物质(如SDS)的处理,以确保蛋白质完全展开成线性结构。变性Marker的优点在于它们提供了一致的蛋白质迁移特性,这对于精确的分子量估计和实验重复性非常重要。由于变性处理,这类Marker的蛋白质保持一致的电荷和形状,使得它们在电泳过程中的迁移更加可预测。
变性蛋白Marker一般可分为预染和非预染两种
未预染蛋白Marker:
这类Marker包括宽分子量、高分子量和低分子量蛋白标准。它们是最简单、最准确的一种,因为不附带染料分子或标记分子,所以所示大小正好是蛋白原本的大小。缺点是在电泳过程中不可见,需要在电泳结束后经过染色才能看到,无法实时监控电泳过程。适合精确判断蛋白大小,但操作相对麻烦,需要额外的染色步骤。如abs9840非预染蛋白 Marker (14.4-97.4kDa),用考马斯亮蓝 R-250 染色可得分布均匀密度相同的六个条带,产品含 SDS, 不适合用于非变性胶。

abs9840非预染蛋白 Marker (14.4-97.4kDa)
预染蛋白Marker:
这类Marker在生产时就结合了染料,因此在电泳过程中或转膜时可以直接观察到不同颜色的条带。预染蛋白Marker方便实验人员在电泳时、电泳后,以及转膜后监测电泳情况和估计迁移率。又分为单色预染和多色预染。单色预染Marker通常会利用其中某些条带加倍浓度来提示其大小,而多色预染Marker用不同的颜色来区别,更易于辨认 。需要注意的是,预染蛋白Marker与染料共价耦联,所以在不同的缓冲条件下电泳时迁移特性可能会发生某些变化,可能导致一些偏差,因此不太适合精确定位蛋白。

abs923 预染蛋白Marker(10-245kDa)
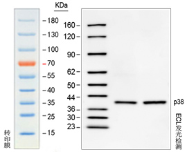
预染发光Western Marker:
传统的 Western Blot 试验需要使用预染蛋白Marker 来跟踪检测阳性抗原信号和转膜效率,但预染蛋白 Marker 无法在胶片上曝光,曝光信号需要根据膜上的预染蛋白 Marker来判断。absin新品abs90004 预染发光Western Marker由 9 种发光蛋白和 9 种预染蛋白组成;9 中发光蛋白分别为 23、30、36、44、50、62、90、120 和 160KDa,这些蛋白均可与抗体结合, 因此能与抗原在同一张膜上曝出信号,阳性信号可以直接通过 Western Marker 的位置来判断;9 种预染蛋白分别为 15、25、35、40、55、70、100、130 和 180KDa,其中 70KDa为红色,其他为蓝色,转膜完毕后在膜上肉眼可见。
(1)可与抗原同时检测信号,使Western blot结果判断更加简便。
(2)发光marker没有偶联和标记其他分子,分子量更加准确。
(3)综合发光marker和预染marker的优势,既能监测转膜又能与抗原同时检测。

HRP标记的Goat anti mouse IgG二抗(一抗:mouse anti P38)ECL化学发光检测
多重荧光检测
按照分子量又可以将marker分为高分子量、低分子量、宽分子量等。高分子量蛋白Marker是指那些用于检测大分子量蛋白质的标记,通常包含的蛋白质分子量范围较高,它们提供的分子量范围通常从几十kDa到几百kDa不等。低分子量蛋白Marker是指用于检测小分子量蛋白质的标记,通常包含的蛋白质分子量范围较低,从几kDa到几十kDa的分子量范围。宽分子量蛋白Marker是指覆盖宽广分子量范围的标记,通常包含从低到高多个分子量的蛋白质。
4、如何选择marker?需要考虑什么因素?
首先看实验类型,非变性蛋白需要非变性蛋白marker,变性蛋白则需要变性marker,两者不可以相互替换,然后看目的蛋白大小,选择相应的marker,在可选条件下,宽分子量蛋白marker,是不错的选择,另外看实验要求,如果需要在电泳和转印过程中检测,需要选择预染marker,如果需要精确的条带分子量大小,则需要非预染marker做参考,可以同时使用预染marker和非预染marker,除了以上因素,还需要考虑marker的使用体系。
非变性蛋白电泳好物推荐:
| 货号 |
产品名称 |
规格 |
| abs9116 |
免疫印迹及免疫沉淀用(WB/IP)裂解液 |
100mL |
| abs9360 |
Tris-Glycine电泳缓冲液(10×) |
500mL |
| abs9618 |
Glass gel 预制胶 Tris-Gly 15%, 10wells, 1.5mm |
10片/盒 |
| abs9954-1mL×5 |
非变性非还原性蛋白上样缓冲液(5×) |
1mL×5 |
| abs9919 |
非变性蛋白 Marker (66-669kDa) |
200uL |
| abs964 |
考马斯亮蓝染色试剂盒(常规型) |
1kit |
WB好物推荐:
| |
货号 |
产品名称 |
规格 |
| 样本处理 |
abs9346 |
细胞浆、细胞核及细胞膜蛋白抽提试剂盒 |
50T |
| abs9116 |
免疫印迹及免疫沉淀用(WB/IP)裂解液 |
100mL |
| abs9162 |
广谱型磷酸酶抑制剂混合物(100×储液) |
1mL |
| abs9161 |
广谱型蛋白酶抑制剂混合物(不含EDTA,100×DMSO储液) |
1mL |
| 蛋白定量 |
abs9232 |
BCA 蛋白定量试剂盒 |
500T |
| 胶 |
配胶试剂盒、各类预制胶(参考前面表格) |
| 上样与电泳 |
abs953 |
上样缓冲液(2×) |
10mL |
| abs951 |
电泳液(10×) |
100mL |
| abs923 |
预染蛋白Marker(10-245kDa) |
500uL |
| 转膜 |
abs932 |
PVDF膜(0.45μm) |
20张 |
| abs960 |
NC膜(0.45μm) |
20张 |
| abs950 |
电转液(10×) |
100mL |
| 封闭 |
abs9175 |
脱脂奶粉 |
500g |
| abs9157 |
牛血清白蛋白 |
100g |
| 抗体稀释与去除 |
abs954 |
WB专用一抗二抗稀释液 |
100mL |
| abs967 |
Western一抗二抗去除液(强碱性) |
500mL |
| 显色与检测 |
abs920 |
ECL化学发光检测试剂盒 |
25mL×2 |