19 年
手机商铺
技术资料/正文
2273 人阅读发布时间:2020-12-17 09:56
膜蛋白在细胞中扮演着重要的角色,他们参与细胞与细胞之间、细胞与细胞基质之间的相互联系及细胞的形成过程,各种离子、代谢产物和蛋白质的跨膜运输。鉴于膜蛋白在多种细胞功能中的重要性,越来越多的膜蛋白成为各种疾病的药物靶点,膜蛋白的研究也逐渐成为近年来研究热点。
纯化出高纯度的蛋白是研究膜蛋白结构、功能等的前提,因此膜蛋白的纯化策略也是大家越来越关注的话题。
今天小编就带大家来看一下膜蛋白纯化吧!
01
膜蛋白表达体系
膜蛋白的表达系统:原核表达(大肠杆菌、芽孢杆菌)、哺乳细胞(HEK293)、酵母表达、昆虫细胞表达。
不同的表达系统的优缺点

02
膜蛋白纯化步骤

操作要点:
1、细胞破碎方法:离心和渗透压结合的方法、超声破碎法、机械、均质化
2、膜结构组份一般需要4℃,超速离心,收集
3、去垢剂增溶:去垢剂是同时具有亲水性和疏水性基团的双极性分子,能够使磷脂双分子层解体并释放膜蛋白,并且为去膜状态下的膜蛋白提供稳定的疏水环境。去垢剂也需要筛选合适的种类和浓度。
4、对于外源表达的膜蛋白,一般用亲和+分子筛的层析方法分离纯化蛋白。

下面以两篇文章解析膜蛋白的纯化方法
01

对来源于Francisella tularensis的膜蛋白CapA纯化和生物物理表征
纯化思路:
(1)重组蛋白的构建:
以pRSET B vector为载体,以Escherichia coli 21(DE3)为表达宿主,在碳末端依次加了GFP和His标签。
(2)重组蛋白的诱导表达:
37℃条件下,诱导表达12-15 h。
(3)收集、破碎菌体:
在15,600g 离心5 min收集菌体。超声破碎缓冲液为50 mM PBS pH 7.3含有0.3 M NaCl, 加入蛋白酶抑制剂混合物进行超声破碎。
(4)超速离心收集膜组份:
在100,000g离心力下4℃离心1h,留沉淀,用缓冲液洗一次,再离心收集沉淀。
(5)去垢剂增溶:
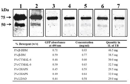
本文作者着重对膜组份增溶中,对去垢剂的种类和浓度进行优化,基本缓冲液为50 mM PBS pH 7.3含有0.3 M NaCl,再加入相对应浓度的增溶剂,4℃溶解45 min后,100,000g离心1 h,留上清,做SDS-PAGE以及在490nm下测GFP吸光度值,发现β-DDM和β-DM的溶解效果比较好。

图1 不同浓度、种类的增溶剂提取的膜蛋白的SDS-PAGE图和GFP吸光度值
(6)CapA重组蛋白的纯化:
①亲和层析:
纯化条件:
Binding buffer: 50 mM PBS pH 7.3, 0.3 M NaCl 20 mM imidazole
Wash buffer: 50 mM PBS pH 7.3, 0.3 M NaCl 50 mM imidazole
Elution buffer:50 mM PBS pH 7.3, 0.3 M NaCl 500 mM imidazole

图2 Histrap纯化后不同浓度梯度的SDS-PAGE图
②凝胶过滤层析:
用 Superdex 200 Increase预装柱, 20 mM HEPES,pH 7.0,以及0.3 M的氯化钠和去垢剂。

图3 凝胶过滤层析图
结果发现不同的去垢剂组份纯化出的蛋白的聚合体不一样。
02

人的T cell receptor–CD3 复合体结构研究
纯化思路:
(1)重组蛋白的构建:
以哺乳细胞HEK293F为表达宿主,目的基因为在碳末端依次加了Strep和His标签。
目的基因:TCRα,TCRβ(pCAG)+CD3γ、δ、ε、ζ(pcDNA3,4)。
(2)重组蛋白的诱导表达:
在37℃、含有5%CO2条件下,120 rpm 培养60 h。
(3)细胞膜结构的制备和溶解:
通过离心收集细胞,然后匀浆破碎。
细胞膜结构组份的收集:用25 mM HEPES,pH 7.5,1 M NaCl缓冲溶液重悬,加入1mM PMSF,100,000g超速离心30 min收集细胞膜结构组份。
细胞膜结构的溶解:用25 mM HEPES,pH 7.5,150 mMNaCl,1% DDM,0.2% cholesteryl hemisuccinate tris salt, 1 mM PMSF, 4℃条件下溶解2 h。
40,000g 离心30 min,收集上清,即为可溶的膜蛋白粗溶液。
(4)亲和层析纯化:
本文作者用StrepTactin 填料进行纯化。
结合条件:4℃结合3 h;
Wash buffer: 25 mM HEPES,pH 7.5, 300 mM NaCl, 0.06% digitonin;
Elution buffer: 25 mM HEPES, pH 7.5, 150 mM NaCl, 0.06% digitonin+4 mM desthiobiotin

图1 亲和层析后,各个亚基的SDS-PAGE图
(5)膜蛋白复合体交联
蛋白质浓缩后用0.1%(v/v)的戊二醛交联40min,得到膜蛋白复合体。
(6)凝胶过滤分子筛层析:
用Superose 6 increase 10/300, buffer为25 mM HEPES, pH 7.5, 150 mM NaCl, 0.06% digitonin。

图2 TCR-CD3复合体SDS-PAGE图
膜蛋白复合体TCR-CD3交联后进行凝胶过滤分子筛层析,进行SDS-PAGE实验,发现得到比较纯的复合体。
(7)TCR-CD3结构分析
通过冷冻电镜分析,TCR-CD3 TCR–CD3复合物的最终原子模型包含全长TCRαβ的亚基,完整的ECD和跨膜螺旋CD3γε,CD3δε和CD3ζζ。

图3 TCR–CD3复合体结构图
相关纯化产品
