上海优宁维生物科技股份有限公司代理商

19

手机商铺

qrcode
商家活跃:
产品热度:
  • NaN
  • 0
  • 0
  • 2
  • 2
代理商

上海优宁维生物科技股份有限公司

入驻年限:19

  • 联系人:

    上海总部

  • 所在地区:

    上海 浦东新区

  • 业务范围:

    试剂

  • 经营模式:

    代理商

在线沟通

技术资料/正文

【小优细节君】WB检测caspase-1的活化(剪切体)为何无条带?

647 人阅读发布时间:2025-01-15 16:46

小优细节君曾分享过caspase,主要介绍了凋亡刽子手caspase-3的检测。本文将聚焦于细胞焦亡的关键指标——炎症之友caspase-1。

 

介绍

caspases在细胞焦亡、细胞因子成熟和分泌中的作用是典型的促炎过程。在炎性caspases中,控制caspase-1活性的机制是最典型的。

经典炎症小体内的caspase-1裂解其底物(pro-IL-1β, pro-IL-18, pro-IL-37, GSDMD),从而触发细胞焦亡并通过炎症介质发出信号,以抵抗病原微生物感染和激活免疫。

游离于细胞质中的caspase-1以单体形式存在,它需要二聚化才能获得基本蛋白酶活性,进而催化自裂解,获得裂解非自身底物的酶活性。

 

炎性caspases结构

炎性caspases具有相似的结构域。

N端是由caspase激活和招募结构域(CARD)组成,使其能够被招募到炎症小体;催化结构域是由大亚基(P17-20)、小亚基(P10-12)及连接大小亚基的连接区(IDL)组成;CARD通过一个CARD域连接子(CDL)与蛋白酶域相连。
 

技术资料图片1

 

图1 炎症性Caspases的结构
△点击放大图片

大多数经典炎症小体(AIM2、PYRIN、NLRP3、NLRP6、人NLRP1)需要ASC作为接头蛋白来向caspase-1发出信号。炎症小体中ASC有助于caspase-1 的IDL自激活。

小优细节君曾分享过NLRP3炎症小体相关内容,可以点击查看~

 

WB做caspase-1需要注意哪些事项?

1
细胞类型

研究表明,caspase-1 CDL的裂解在不同类型的细胞之间受到差异调节,以调控caspase-1活性的持续性和随后的细胞反应。经典炎症小体发出信号刺激巨噬细胞会迅速死亡,而中性粒细胞则不会发生凋亡。

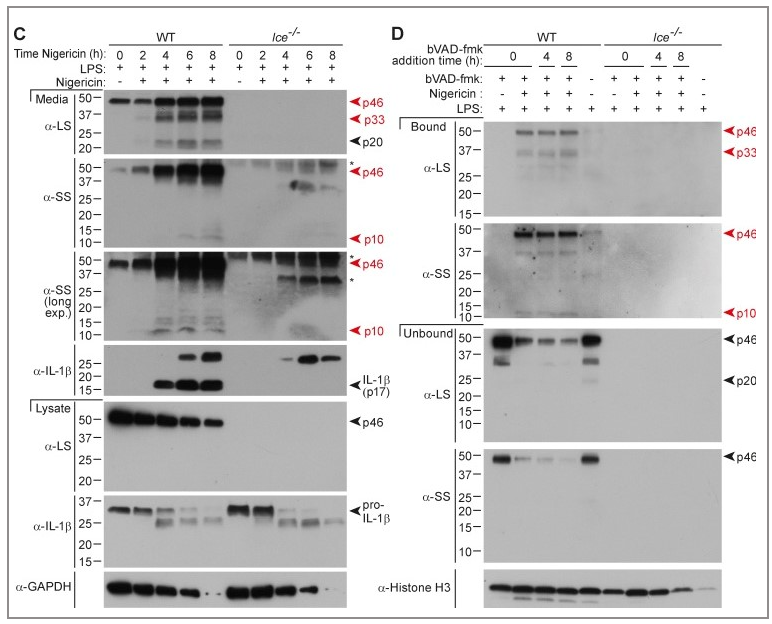
巨噬细胞中NLRP3诱导的caspase-1活性迅速发生,导致GSDMD和pro-IL-1β在细胞刺激后30分钟内快速裂解,然后caspase-1活性消失,随后发生细胞焦亡。在这个过程中,caspase-1活性物主要是p33/p10,在一小时内CDL裂解生成p20/p10终止酶活性。

NLRP3激活的中性粒细胞表现出较弱且长效的caspase-1活性(刺激后超过8小时),由p46和p33/p10二聚体介导,产生IL-1β的效率低于巨噬细胞,但可以在较长时间内产生IL-1β。
 

技术资料图片2

 

图2 DOI: 10.1084/jem.20172222 Figure 5.
△点击放大图片

对caspase-1活性的动力学研究有助于实验设计。只有在caspase-1二聚形成活性位点后,caspase-1的靶向药才能与caspase-1相互作用以关闭蛋白酶活性。

在caspase-1快速失活的信号细胞中(如巨噬细胞),caspase-1底物在仅持续几分钟的爆发后被裂解,这会快速生成大量的GSDMD-p30,迅速在膜中形成孔,导致细胞溶解。caspase-1活性位点抑制剂通过终止炎症信号以提供治疗的作用有限。

而在信号持续数小时的细胞中(如中性粒细胞),caspase-1底物(如GSDMD)在数小时内缓慢裂解,caspase-1的靶向药可通过其他机制修复膜孔、避免细胞焦亡发生。

2
适当刺激

细胞中caspase-1浓度较低,需要将caspase-1募集到炎症小体才能促进其二聚化和激活。随后CDL中的裂解导致caspase-1从炎症小体中解离,并使游离的p20/p10 caspase-1二聚体不稳定。

体外表达的重组caspase-1 p20/p10不需要炎症小体来获得活性,且具有较强的蛋白酶活性。在这里,caspase-1以高浓度存在,大大超过正常细胞表达水平,这种高浓度单体促使二聚化发生,而不产生炎症小体,并保持二聚体稳定性。

3
培养基检测

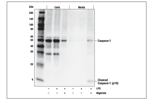
细心的朋友会发现在图2中已经有展示,p20在细胞裂解液和培养基中检测结果有明显差异,而p10仅在培养基中被检测到,是由蛋白本身的性质决定的。
 

技术资料图片3

 

图3 89332S例图
△点击放大图片

Cleaved Caspase-1(p10)蛋白在细胞裂解液中的含量本身较少,建议用细胞上清浓缩液做WB,具体步骤如下:


1、将培养基与2倍体积的冷丙酮混合,并在-20℃下放置过夜。

2、在4℃下以12,000g离心10分钟。

3、小心去除上清液,注意不要移出蛋白质沉淀。

4、不要过度干燥沉淀,否则它可能无法完全溶解。

5、将沉淀重新悬浮在适当体积(100-500 μl)的1X SDS样品缓冲液中。

6、WB检测。

4
其他

1、裂解样本的时候要超声,使目的蛋白溶出更加充分。

2、保证足够的蛋白上样量,组织样本推荐50~100μg,细胞样本推荐20~50μg。

3、Caspase-1剪切体分子量较小,建议使用0.22μm膜,转膜不能太久,避免过度转膜。


部分相关产品:

产品名称 货号
Cleaved Caspase-1 (Asp296) (E2G2I) Rabbit mAb 89332S
Cleaved Caspase-1 (Asp297) (D57A2) Rabbit mAb 4199S
Caspase-1 (E9R2D) Rabbit mAb 83383S
Caspase-1 (D7F10) Rabbit mAb 3866S
Caspase-1 Antibody 2225S
Gasdermin D (E9S1X) Rabbit mAb 39754S
NLRP3 (D4D8T) Rabbit mAb 15101S

参考文献:
1. Ross, Connie et al. “Inflammatory Caspases: Toward a Unified Model for Caspase Activation by Inflammasomes.” Annual review of immunology vol. 40 (2022): 249-269. doi:10.1146/annurev-immunol-101220-030653
2. Boucher, Dave et al. “Caspase-1 self-cleavage is an intrinsic mechanism to terminate inflammasome activity.” The Journal of experimental medicine vol. 215,3 (2018): 827-840. doi:10.1084/jem.20172222
3. Ball, Daniel P et al. “Caspase-1 interdomain linker cleavage is required for pyroptosis.” Life science alliance vol. 3,3 e202000664. 12 Feb. 2020, doi:10.26508/lsa.202000664
4. Schroder, Kate, and Jurg Tschopp. “The inflammasomes.” Cell vol. 140,6 (2010): 821-32. doi:10.1016/j.cell.2010.01.040

推荐阅读:
【小优细节君】偶遇Caspase提问器
【小优细节君】 炎症小体NLRP3如何做好?

资料格式:

d4c16896a9654109af2c07bf39970f97.png

查看详细文档

上一篇

NK细胞培养攻略

下一篇

TR-FRET热门应用介绍——药物研发如虎添翼

我的询价