19 年
手机商铺
技术资料/正文
328 人阅读发布时间:2025-04-16 10:50
一、引言
在医学研究领域,活体微生物药物作为一类具有独特作用机制和治疗潜力的新型药物,正日益受到科学家们的广泛关注。特别是在抗肿瘤治疗领域,活体微生物药物因其能够利用微生物的天然特性,在肿瘤微环境中发挥独特的治疗作用,而展现出巨大的应用前景。南京大学华子春教授团队作为国内最早开展活体微生物药物研发的团队之一,近年来在该领域取得了多项令人瞩目的研究成果。本文将对这些研究成果进行深入的解析,以期为读者提供一个全面而清晰的认识。

二、活体微生物药物的历史背景与现状
早在19世纪后期,William Coley博士便尝试使用热灭活的革兰氏阳性菌(链球菌)和革兰氏阴性菌(粘液沙门氏菌)治疗癌症患者,并观察到了显著的疗效。这一开创性的尝试被认为是肿瘤免疫疗法的最早形式。然而,由于当时对微生物和肿瘤免疫机制的认识有限,以及化疗药物的兴起,细菌疗法逐渐被边缘化。
近10多年来,随着基因编辑技术的飞速发展以及对肿瘤微环境认知的不断深入,肿瘤的细菌治疗又重新回到了科学家们的视野。这些微生物,也被称为溶瘤细菌,以沙门氏菌作为代表性菌株,因其具有兼性厌氧的特性,能够在肿瘤部位高效定殖,并激活肿瘤免疫,从而实现肿瘤消退。然而,尽管溶瘤细菌疗法在理论上具有巨大的潜力,但在实际应用中仍面临诸多挑战。如何提高细菌疗法的安全性、增强肿瘤靶向性与治疗效果,成为细菌疗法走向临床应用转化的关键瓶颈。

三、华子春教授团队的研究成果
华子春教授团队在国际知名药学综合期刊Acta Pharmaceutica Sinica B上发表了一篇题为“Salmonella Flagella Confer Anti-tumor Immunological Effect via Activating Flagellin/TLR5 Signalling within Tumor Microenvironment”的研究论文。该研究通过比较沙门氏菌对免疫功能正常或缺陷小鼠体内黑色素瘤异体移植的肿瘤抑制作用,证实了宿主机体免疫反应在细菌抗肿瘤过程中的积极作用。
进一步的研究发现,鞭毛是沙门氏菌感染宿主过程中诱发机体免疫反应的关键因子。鞭毛缺失的菌株不再具备显著的抗肿瘤效果,这表明鞭毛主要通过与Toll样受体5(TLR5)的信号通路来激活宿主的免疫细胞,从而实现有效的抗肿瘤活性。这一发现不仅揭示了沙门氏菌与宿主免疫反应之间的治疗响应信号通路,还为TLR5激动剂在癌症免疫治疗中的潜在应用价值提供了新的思路。
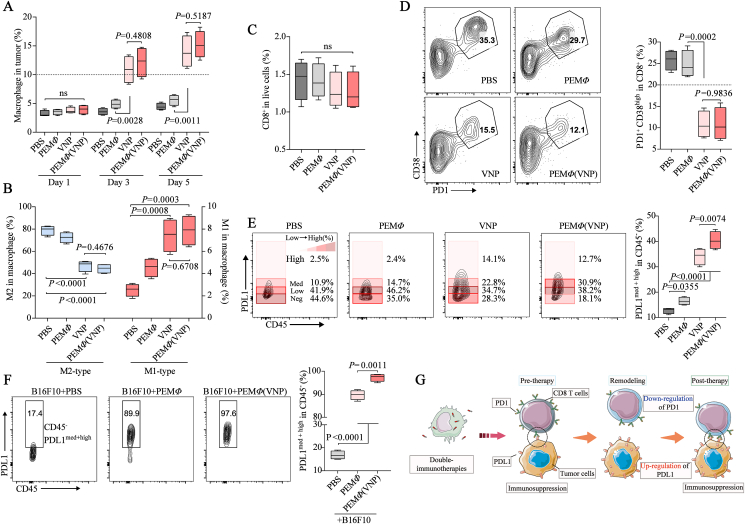
在深入理解沙门氏菌肿瘤治疗响应与感染致病过程的基础上,华子春教授团队开发了肿瘤细菌治疗的全新策略。他们将减毒沙门氏菌事先“藏匿”在巨噬细胞内,制备获得特洛伊木马型巨噬细胞。这些巨噬细胞凭借肿瘤趋化效应,能够实现向荷瘤小鼠肿瘤内部的快速富集。
进一步的研究发现,细胞内减毒沙门氏菌对巨噬细胞的长时间刺激与胞内增殖会引发巨噬细胞胀亡,随后实现胞内细菌在肿瘤部位的延迟释放。这一策略有效避免了大量细菌抗原直接暴露而引发的机体过度免疫,降低了菌株引发的毒副反应,并增强了细菌的肿瘤靶向性。
此外,基于对特洛伊木马型巨噬细胞治疗后的肿瘤微环境变化,尤其是免疫检查点的改变,华子春教授团队还构建了可表达分泌抗PD1纳米抗体的工程化沙门氏菌菌株,并装载在巨噬细胞中。这一创新策略将免疫检查点阻断免疫疗法(抗PD1纳米抗体)、最早的细菌免疫疗法(溶瘤细菌)和新兴的免疫细胞疗法(巨噬细胞)三种疗法融为一体,形成了二代特洛伊木马型巨噬细胞免疫治疗新方法。
该系统不仅保留了巨噬细胞低毒副作用、高肿瘤靶向性的特点,还凭借其运载的溶瘤细菌持续表达分泌抗PD1纳米抗体而产生更高效的肿瘤免疫激活。最终,该系统在荷瘤小鼠模型中实现了持久且强烈的肿瘤抑制效果。

四、研究成果的意义与影响
华子春教授团队在活体微生物药物研发领域的突破不仅为溶瘤细菌治疗提供了新的解决方案,还为如何更高效、更具针对性地结合多种癌症疗法提供了新的思路。这一创新策略的成功实施,不仅依赖于对微生物和肿瘤免疫机制的深入理解,还离不开多学科交叉融合的科研环境以及团队成员之间的紧密合作。
此外,华子春教授团队的研究成果还具有重要的临床应用价值。特洛伊木马型巨噬细胞免疫治疗新方法有望为癌症患者提供一种新的治疗选择,尤其是在对传统疗法不敏感或耐受性较差的患者中。这一新方法的开发和应用,将有助于提高癌症患者的生存率和生活质量,为癌症治疗领域带来新的希望和曙光。

五、未来展望
尽管华子春教授团队在活体微生物药物研发领域取得了显著的成果,但仍有许多问题和挑战需要解决。例如,如何进一步优化特洛伊木马型巨噬细胞的制备和递送过程?如何进一步提高溶瘤细菌的肿瘤靶向性和治疗效果?如何降低细菌疗法可能引发的毒副反应?这些问题都需要在未来的研究中进行深入探讨和解决。
同时,随着基因编辑技术、合成生物学和生物信息学等技术的不断发展,活体微生物药物的研发将迎来更多的机遇和挑战。华子春教授团队将继续发挥其在该领域的领先地位和优势,不断探索和创新,为癌症治疗领域贡献更多的智慧和力量。
结语
南京大学华子春教授团队在活体微生物药物研发领域的突破不仅为癌症治疗提供了新的思路和方法,还为生物医学研究的发展注入了新的活力和动力。这一领域的不断探索和创新将有助于提高人类对癌症等复杂疾病的认识和治疗水平,为人类健康事业作出更大的贡献。我们期待华子春教授团队在未来的研究中能够取得更多的成果和突破,为生物医学研究的发展谱写新的篇章.
| 名称 | 货号 | 规格 |
| Mouse CCL2/JE/MCP-1 ELISA Kit | abs520016-96T | 96T |
| HA-Tag(C29F4)Rabbit mAb | 3724-5ml | 5ml |
| Anti-rabbit IgG, HRP-linked Antibody | 7074P2 | 100ul |
| TRYPAN BLUE STAIN 0.4% | T10282 | 2X1ML |