19 年
手机商铺
技术资料/正文
146 人阅读发布时间:2025-07-03 13:08
本文由美国Sanford Burnham Prebys Medical Discovery Institute的Jorge Moscat教授团队撰写,并于2020年8月10日发表在权威癌症研究期刊《Cancer Cell》上,标题为“PKCλ/l Loss Induces Autophagy, OxidativePhosphorylation, and NRF2 to Promote Liver Cancer Progression”。该文章报道了蛋白激酶PKCλ/l(以下简称PKCλ)的缺失对肝癌发生发展的影响,揭示了其潜在的分子机制。

自20世纪70年代末被发现以来,蛋白激酶C(PKC)一直是信号转导研究中的热点。PKCs通过多种途径传递信号,参与调控细胞周期进程、肿瘤发生和转移等过程。尽管已有大量关于PKC激活与其功能的研究,但单个PKC激酶,特别是PKCλ在肝癌进展中的作用及其机制仍不明确。
肝脏特异性敲除PKCλ促进肝癌的发生
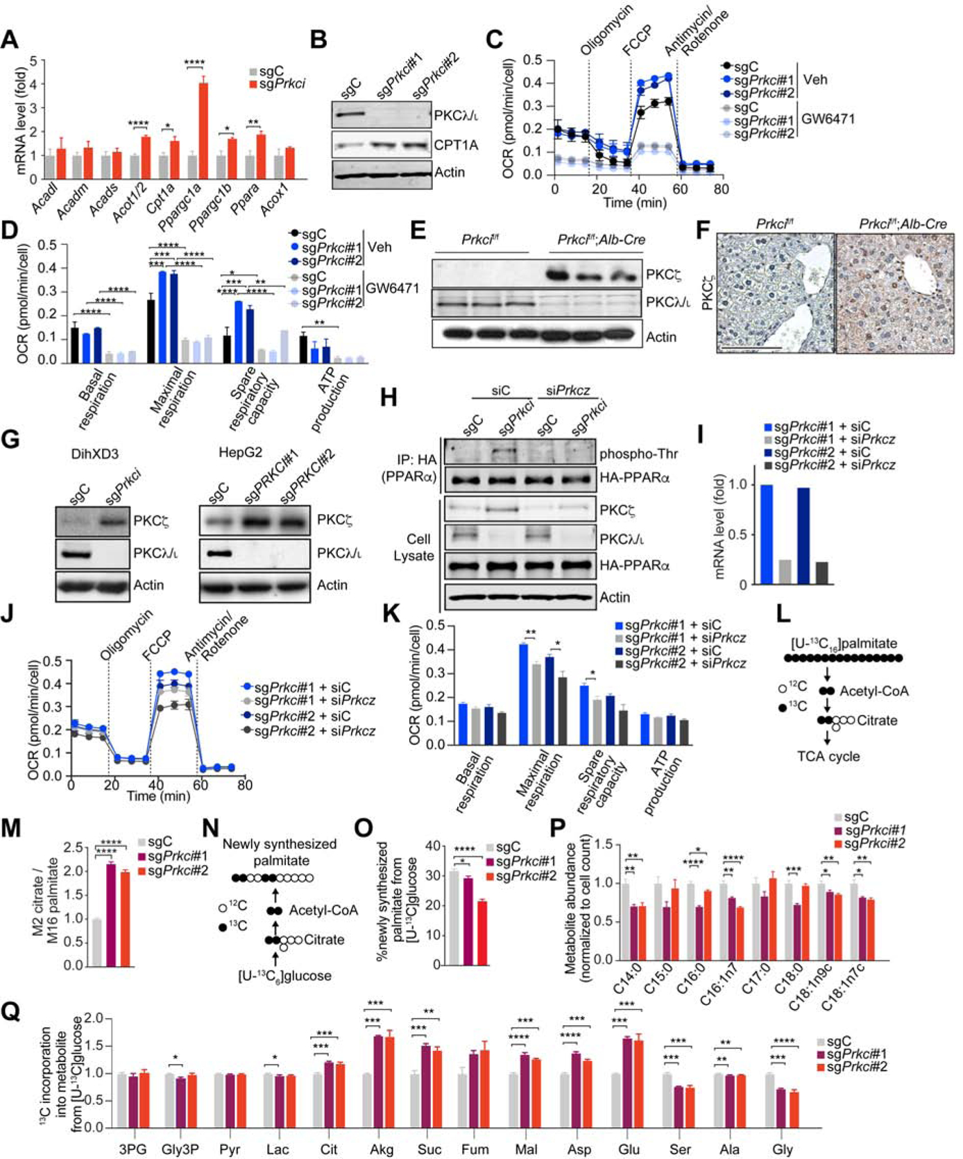
作者首先在DEN诱导的小鼠肝癌模型中发现,肝脏中的PKCλ含量与癌症恶化程度呈负相关。为了验证这一关系,作者构建了肝脏组织特异性敲除PKCλ的小鼠模型,并发现敲除小鼠在用正常饲料喂养30周后表现出肝受损、肝细胞凋亡、肝纤维化等症状。在DEN和高脂饲料的诱导下,敲除小鼠均表现出恶性肝细胞癌,且伴有肺转移。这表明PKCλ的缺失会诱发肝癌的发生。
PKCλ通过调节氧化磷酸化和自噬促进肝癌的发生
作者利用转录组学分析发现,在敲除PKCλ的小鼠中,氧化磷酸化(OXPHOS)、脂肪酸代谢与氧化、活性氧的产生(ROS)和自噬等通路均上调。进一步研究发现,PKCλ的缺失使得PKCδ上调,并激活PPARα,从而促进肝细胞的氧化磷酸化-脂肪酸氧化过程。这一过程导致ROS增多并上调NRF2的活性及其下游靶基因,增强氧化应激过程。同时,敲除PKCλ还能促进自噬,通过减轻对溶酶体和自噬体结合的抑制来维持自噬下游的氧化磷酸化。
PKCλ的缺失营造了一个促癌的微环境
作者进一步发现,PKCλ敲除小鼠在注射小鼠原代肝癌细胞后,肝癌程度更加严重,腹腔内有大量腹水。这些腹水为肝癌的生长提供了微环境,而NRF2的敲低可以恢复这一表型。这表明PKCλ的缺失不仅促进了癌症的发生,还塑造了一个依赖于NRF2的促癌微环境。此外,对人临床样品的研究结果也表明,PKCλ的水平随着癌症的恶化程度减少,低表达PKCλ的病人术后复发率较高。
本研究发现PKCλ是自噬和氧化代谢的关键抑制因子,其缺失会上调自噬和氧化磷酸化进而导致肝癌。这一发现为肝癌的靶向治疗提供了新的策略。作者提出的Autophagy-OXPHOS-ROS-NRF2轴可为肝癌的精准治疗提供理论依据和实验依据。
尽管本研究取得了重要发现,但仍存在一些有待进一步研究的问题。例如,文章结果表明PKCλ的缺失会促进PKCδ的表达水平,从而激活PPARα导致脂肪酸氧化并产生ROS,但PKCλ的敲除通过什么途径上调PKCδ仍不清楚。这需要进一步的研究来揭示PKCλ与PKCδ之间的相互作用机制。

本研究揭示了蛋白激酶PKCλ在肝癌发生发展中的关键作用及其潜在机制。通过构建肝脏组织特异性敲除PKCλ的小鼠模型,作者发现PKCλ的缺失会促进肝癌的发生和发展,并通过调节氧化磷酸化和自噬等通路维持肝癌细胞的生长和存活。这一发现为肝癌的靶向治疗提供了新的思路和策略,同时也为其他肿瘤的研究提供了有益的参考。
| 名称 | 货号 | 规格 |
| Purified Mouse Anti-PKCλ(41/PKCλ) | 610207 | 50ug |
| Purified Mouse Anti-PKCλ(41/PKCλ) | 610208 | 150ug |
| PKCβ1 GST Tag Protein, Human | UA080347-10ug | 10ug |
| PKC zeta Recombinant Rabbit mAb (S-1306-34) | S0B0802-1ml | 1ml |