19 年
手机商铺
技术资料/正文
446 人阅读发布时间:2025-02-11 15:07
在血管内皮细胞(ECs)的复杂调控网络中,血管内皮生长因子受体-2(VEGFR2)信号通路、活性氧(ROS)及铜(Cu)元素共同编织着血管修复与生成的精密织锦。近期,《Nature Cell Biology》(2022年IF=28.213,JCR分区Q1)期刊刊登了一项引人入胜的研究——“Cysteine Oxidation of Copper transporter SLC31A1/CTR1 Drives VEGFR2 Signaling and Angiogenesis”,该研究深入探讨了铜转运蛋白CTR1与ROS感应机制如何携手促进血管新生。

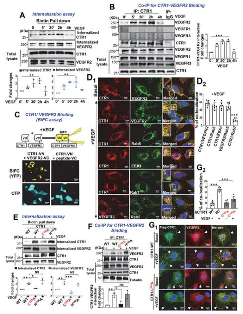
1、CTR1半胱氨酸氧化与VEGFR2信号关联:在VEGF的刺激下,CTR1的C端半胱氨酸(Cys)189迅速发生亚磺酰化,促成CTR1与VEGFR2之间通过二硫键的紧密结合。
2、CTR1与VEGFR2的共内化过程:CTR1与早期核内体(EEs)的共定位显著增强了VEGFR2信号通路的活性。
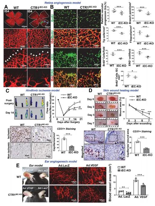
3、CTR1对血管生成的必要性:通过EC特异性敲除CTR1的小鼠模型实验,揭示了CTR1在发育及修复性血管生成中的不可或缺性。
4、Cys189氧化的关键作用:CTR1的Cys189区域氧化不仅促进了VEGFR2的内化及信号转导,还直接诱导了血管生成的启动。
体内实验验证CTR1的促血管生成作用:利用视网膜新生血管模型及下肢缺血模型,研究发现CTR1缺失显著延缓了血管丛的扩展,减少了血管长度及分支,并损害了血管生成的修复能力。

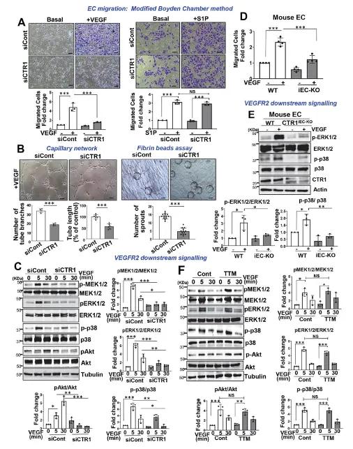
CTR1在VEGF信号通路中的角色:通过干扰RNA(siRNA)及基因敲除实验,证实了CTR1在VEGF诱导的EC迁移、管状结构形成及信号分子(如p-MEK1/2、p-ERK1/2等)激活中的关键作用。值得注意的是,这一过程并不完全依赖于Cu的转运功能。

Cys189氧化的具体机制:ROS(特别是H2O2)通过NOX4促进CTR1的Cys189氧化,进而增强了VEGFR2信号通路及血管生成反应。利用CysOH捕获探针及基因编辑技术,进一步证实了Cys189氧化对CTR1与VEGFR2结合及共内化的重要性。

CTR1与VEGFR2的共内化过程:细胞表面生物素化实验及免疫共沉淀实验显示,VEGF刺激迅速促进了CTR1与VEGFR2的结合及共内化至早期核内体,从而激活了VEGFR2的下游信号通路。

体内实验再验证:在mCtr1-C187A敲入突变体小鼠中,VEGFR2信号通路及血管生成能力均显著受损,进一步证实了Cys189氧化在CTR1介导的血管生成中的核心地位。

CTR1作为Cu转运蛋白,在Cys189处的巯基氧化不仅连接了Cu转运与ROS依赖的VEGFR2信号通路,还独立促进了血管生成。VEGF诱导的CTR1-Cys189氧化,以Cu转运非依赖的方式激活了MEK1/2和ERK1/2等MAPK信号通路,进而促进了血管生成。这一发现不仅揭示了CTR1在血管生成中的新角色,也为血管疾病的治疗提供了新的靶点与思路。
| 名称 | 货号 | 规格 |
| Recombinant Human VEGF R1 Protein(C-Fc) | abs04464-1mg | 1mg |
| VEGF (hBA-165) | sc-4570 | 50ug |