19 年
手机商铺
技术资料/正文
126 人阅读发布时间:2025-02-12 14:57

非小细胞肺癌(NSCLC)是肺癌中最常见的类型,其中肺腺癌占据了大约一半的比例。由于肺癌的转移往往发生在早期,患者确诊时可能已经存在肺内或远处转移,因此肺癌转移机制的研究显得尤为重要。肿瘤的转移是一个复杂的过程,其中上皮-间质转化(EMT)是一个关键环节。然而,并非所有肿瘤在转移时都会经历明显的EMT过程。
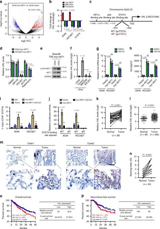
AKT信号通路在肿瘤转移中发挥着重要作用。研究人员发现,在肺癌中,异常激活的AKT通路可以通过促进长链非编码RNA(LncRNA)VAL的表达来影响肿瘤转移。VAL能够与泛素连接酶Trim16竞争性地结合vimentin蛋白,从而抑制vimentin的泛素化依赖蛋白酶体降解途径,进而促进肿瘤转移。这一过程并不伴随EMT的发生。
实验结果显示,通过构建AKT信号通路持续激活的肺癌细胞株,研究人员发现AKT激活后肺癌细胞的侵袭能力增强,但EMT指标并未发生明显变化。同时,LncRNA VAL的表达在AKT激活的肺癌细胞中显著上调,并且可以被AKT抑制剂抑制。进一步的研究表明,AKT通过STAT3转录因子激活VAL的转录。此外,VAL的高表达与肺癌的发展和预后不良密切相关。

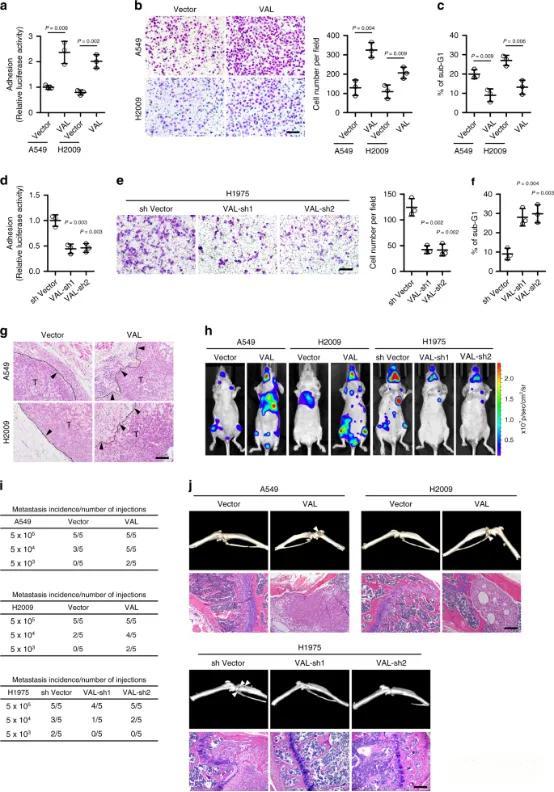
为了探究VAL对肺癌转移的影响,研究人员在肺癌细胞系中过表达或敲低VAL,发现过表达VAL能够增强肿瘤细胞的迁移侵袭能力和抗失巢凋亡能力,而敲低VAL则相反。体内实验也证实了这一结果。进一步的研究表明,VAL是异常激活的AKT信号通路下的关键下游因子,它在AKT异常激活导致的肺癌转移中起着重要作用。

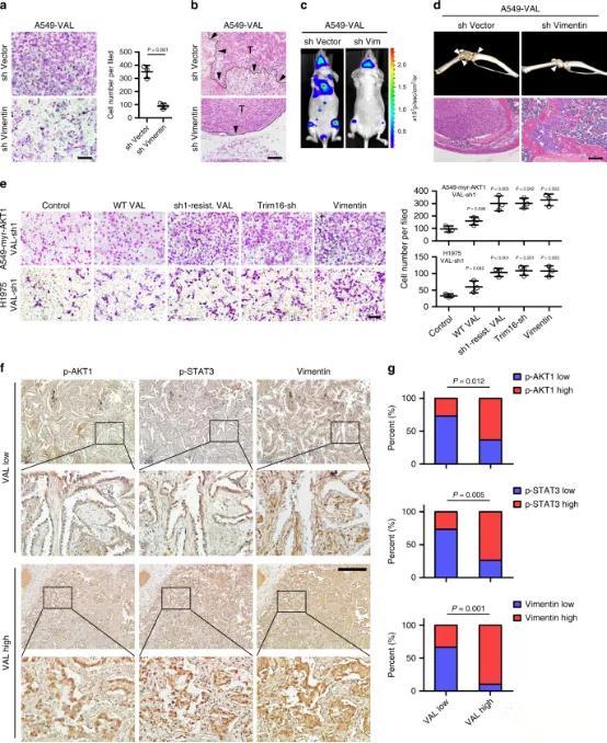
那么,VAL是如何促进肺癌转移的呢?研究人员发现,VAL能够与vimentin蛋白结合并抑制其降解。通过RNA-pulldown和质谱分析,他们证实了VAL与vimentin的相互作用,并确定了结合区域。此外,他们还发现VAL能够稳定vimentin蛋白水平,并抑制其泛素化降解。而Trim16作为vimentin的泛素连接酶,能够与VAL竞争性地结合vimentin,从而被VAL所抑制。
最后,研究人员探究了vimentin在肺癌转移中的作用。他们发现敲低vimentin能够显著降低过表达VAL引起的肿瘤转移性增加,并且敲低VAL的同时再敲低Trim16或过表达vimentin并不能减弱AKT信号通路激活所引起的肿瘤转移性增加。此外,在临床肺癌组织样本中,VAL的表达与AKT、STAT3的磷酸化以及vimentin的表达呈正相关。

综上所述,本文揭示了一种新的肺癌转移机制,即异常激活的AKT通路通过促进LncRNA VAL的表达来抑制vimentin降解,从而促进肺癌转移。这一过程并不伴随EMT的发生。然而,关于vimentin为何在此过程中单独发生变化以及其他EMT标志物未发生变化的具体机制,以及肿瘤细胞在何种情况下可以发生EMT不依赖的转移等问题,仍需进一步的研究和探索。
| 名称 | 货号 | 规格 |
| BV421 Mouse Anti-Akt (pS473)(M89-61) | 562599 | 50Tst |
| Rabbit anti-Akt Polyclonal Antibody | abs131788-50ug | 50ug |
| Anti-Akt (pS473)-PE-Vio770, h&m | 130-105-343 | EA |