19 年
手机商铺
技术资料/正文
242 人阅读发布时间:2025-02-19 13:54
研究概要
本项研究探索了马克斯克鲁维酵母(KMPG)来源的重组内聚半乳糖醛酸酶在增强阿尔巴利诺葡萄酒香气方面的潜在生物技术运用。与采用市售果胶酶的处理方式不同,向果胶中添加这种KMPG酶能大幅提升香气化合物的总量。此增加还促使香气苷元的数量显著上升,成为决定葡萄酒香气的直接因素。运用KMPG酶酿制的葡萄酒,在芳香化合物方面展现出更高的丰富度和多样性,与采用市售果胶制剂酿制的葡萄酒形成鲜明对比。依据气味活性值(OAV)大于1的化合物分析,KMPG酶处理的葡萄酒相比未处理或添加市售酶的葡萄酒,富含更多柠檬酸、香醋和辛辣风味,特别是花香(如紫罗兰和玫瑰)香气更为突出。

研究背景概述
葡萄酒的风味构成复杂,涵盖三大核心部分:首要的是葡萄品种自带的特征香气,这是葡萄酒的主要风味来源;其次是发酵过程中酵母产生的次要香气,为葡萄酒增添独特韵味;最后是葡萄酒在橡木桶或瓶中陈化过程中形成的三级香气,进一步丰富其风味层次。
葡萄中的挥发性成分,如单萜烯、C13-去甲异戊二烯类化合物、苯衍生物以及脂肪醇,共同构成了葡萄酒的潜在香气基础。当葡萄细胞破裂时,细胞内的酶被释放,促进诸如糖基化前体等香气化合物的提取与溶解,进而提升葡萄酒的香气潜力。
在葡萄酒酿造过程中,能够降解细胞壁的酶对于香气前体的提取至关重要。其中,聚半乳糖醛酸酶通过水解果胶物质,即破坏果胶聚合物中半乳糖醛酸单元间的糖苷α(1-4)键,有效促进香气物质的释放。对于阿尔巴利诺等以品种香气为主导、主要作为年轻酒款出售的葡萄酒而言,利用酶类提升香气品质显得尤为重要。
研究结果简述
酶制剂的制备:
我们利用P. pastoris菌株SIVI33过表达了K. marxianus的内聚半乳糖醛酸酶基因EPG1-2。经过在30℃下50小时的孵育、部分纯化和浓缩后,从1L酵母培养物的上清液中获得了浓度为1U/μL的酶储备液。此储备液被用于后续的微量酿造实验中。
微量酿造法的观察:
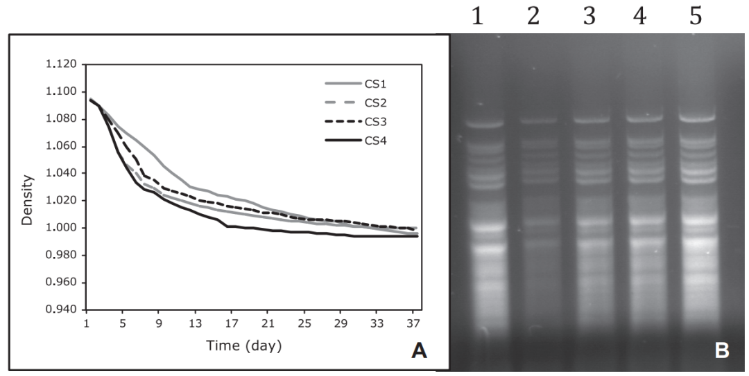
在添加了商业酶或KMPG酶的发酵过程中,与对照组相比,发酵液的密度下降速度更快。特别是在使用最高剂量KMPG酶(300 U/L)的CS4测定中,这种差异尤为显著(见图1A)。然而,经过37天的发酵,所有组的密度均达到了相同水平。在发酵过程中,M-20菌株在所有测定中都占据了主导地位(见图1B)。对理化指标的分析显示,不同处理方法酿造的葡萄酒之间并未发现显著差异。
图1. 发酵进程
实验结果显示,随着酶的添加,葡萄酒的总香气分数呈现上升趋势(详见表1)。特别地,在采用KMPG酶进行处理时,我们观察到了一个明显的规律:随着酶使用量从100 U/L(CS3测定)增加至300 U/L(CS4测定),葡萄酒的总香气分数也相应地从3828 μg/L显著提升至4998 μg/L。这一增长趋势不仅体现在总香气分数上,同样在无挥发性香气部分也观察到了相似的增加模式。这表明,KMPG酶的添加不仅丰富了葡萄酒的挥发性香气成分,还可能通过影响香气前体的释放与转化,间接提升了非挥发性香气组分的含量,从而全面增强了葡萄酒的香气品质。

实验发现,葡萄酒样品中的总挥发性成分及游离化合物受到了显著影响。然而,值得注意的是,在使用商业酶与100 U/L KMPG酶进行精制的葡萄酒之间,并未观察到显著的差异。这一规律在无挥发性气味部分同样适用。
进一步地,挥发性化合物在葡萄酒中的总游离浓度与结合浓度呈现出显著差异。为了直观地展示这一发现,我们采用了主成分分析(PCA)方法,并绘制了双曲线图(图2)。该图同时投影了葡萄酒样本与挥发物,清晰地揭示了它们之间的关系。
在图2中,前两个主成分PC1和PC2共同解释了总方差的100%(其中PC1占81.36%,PC2占18.64%)。根据负载权重,PC1在正负载方向上主要由总浓度、游离组分以及结合组分所代表。这一结果不仅展示了葡萄酒样本之间的关联,还揭示了不同葡萄酒组之间的良好分离效果。
具体而言,位于PC1正侧的第一组主要由CS3和CS4葡萄酒构成,这两组葡萄酒分别补充了不同浓度的KMPG酶。而第二组则是由添加了商业酶(CS2)的葡萄酒组成,它们位于PC1的负侧。至于对照葡萄酒(CS1),则位于PC1的负侧与PC2的正侧。这一分布模式进一步验证了KMPG酶在提升葡萄酒香气品质方面的潜力,同时也凸显了不同酶处理策略对葡萄酒香气成分产生的不同影响。
图2
葡萄酒中挥发性化合物的鉴定与分析
在我们分析的18种挥发性化合物中,有6种化合物在不同葡萄酒样品之间的浓度并未表现出显著差异。然而,当对比未经处理的葡萄酒与用商业酶处理的葡萄酒时,我们发现后者中不同品种的化合物数量有所增加。更为显著的是,在添加了300 U/L KMPG酶的葡萄酒中,我们观察到了各类香气化合物的浓度出现了更大幅度的增加。
这一发现表明,酶的添加不仅丰富了葡萄酒中的挥发性化合物种类,还显著提升了这些化合物的浓度,从而有可能为葡萄酒带来更加复杂和浓郁的香气特征。特别是KMPG酶的使用,其效果在提升香气化合物浓度上表现得尤为突出,这进一步验证了KMPG酶在改善葡萄酒香气品质方面的潜力。

为了更深入地理解游离与结合组分中单个挥发性化合物与葡萄酒之间的关系,我们进行了第二次主成分分析(PCA),并得到了图3。在此分析中,前两个主成分PC1和PC2共同解释了初始方差的90.85%,这表明它们有效地捕捉了数据中的主要变化。
值得注意的是,所有被定量的化合物在PC1的正极都有所表示,这反映了它们在葡萄酒香气构成中的重要性。更为关键的是,通过观察PCA图,我们发现不同葡萄酒组之间实现了良好的分离。
这一发现不仅进一步验证了挥发性化合物在葡萄酒香气特征中的关键作用,还为我们提供了一种直观的方式来区分不同酶处理策略下葡萄酒的香气品质。通过PCA分析,我们能够更清晰地看到KMPG酶处理对葡萄酒香气成分产生的独特影响,以及这种影响如何与葡萄酒的整体香气特征相关联。
图3
葡萄酒中的气味活性化合物分析
在葡萄酒的众多挥发性化合物中,仅有少数化合物因其气味活性值(OAV)大于1而能被感官所检测,这些化合物对葡萄酒的最终香气特征起着至关重要的作用。通过我们的实验发现,添加酶(无论是商业酶还是KMPG)可以显著提升五种关键化合物的浓度,使它们的OAV超过1,从而成为葡萄酒中的重要香气来源。
具体而言,α-蒎烯、芳樟醇、香茅醇、β-紫罗兰酮和丁香酚这五种化合物在添加酶后浓度显著增加。这些化合物不仅具有独特的香气特征,还能与其他化合物相互作用,共同塑造葡萄酒的复杂香气轮廓。因此,它们的增加对提升葡萄酒的整体香气品质具有重要意义。
综上所述,通过添加酶来调控葡萄酒中关键气味活性化合物的浓度,是一种有效的提升葡萄酒香气品质的策略。这一发现不仅为我们深入理解葡萄酒的香气构成提供了新的视角,也为葡萄酒酿造过程中的香气调控提供了有力的支持。

讨论
葡萄酒的典型香气源自其含有的挥发性成分,这些成分主要以两种形态存在:一种是可直接被嗅觉感知的游离分子,另一种则是与糖相连的葡萄糖苷,即香气前体,它们本身无味,但易于水解,释放出芳香的糖苷配基,进而增强葡萄酒的香气。
在酿酒技术中,添加外源酶是提升和区分葡萄酒特征与品质的一种常用手段。果胶酶的添加有助于发酵过程的进行,能显著缩短发酵所需时间。在本研究中,当使用最高浓度的KMPG酶时,发酵时间的减少最为显著(达10天),这可能是因为KMPG酶提高了酵母所需营养物质(如碳源和氮源)的可用性。
虽然基于果胶酶并按照制造商推荐浓度使用时,确实能增加芳香族化合物的总量,但使用本研究中测试的最高浓度KMPG时,这种增加更为显著。这提示我们,商业酶在某些方面可能存在局限性。本研究表明,尽管葡萄糖苷酶的作用相对较弱,但添加KMPG能显著增加游离挥发性成分,从而实质性提升葡萄酒的香气,且未观察到其他不良影响。
此外,单独生产KMPG酶或与其他感兴趣的酶混合使用(在符合现行法规的前提下),可能为增强葡萄酒香气提供更为可控的新途径。目前,作者实验室正在开展此类研究及进一步实验,以拓展和深化本研究的成果。这些努力有望为葡萄酒酿造业带来新的突破,推动行业向更加精细化、个性化的方向发展。
研究意义阐述
本研究深入探讨了果胶酶(特别是K. marxianus的内聚半乳糖醛酸酶,即KMPG酶)对葡萄酒最终香气构成的深远影响。实验结果显示,KMPG酶在Albariño品种的葡萄汁/葡萄酒环境中表现出色,成为了一种理想的酶选择。与市面上常见的商业果胶制剂相比,KMPG酶的添加不仅显著提升了糖缀合物前体的浓度,还促进了负责葡萄酒香气的游离苷元的生成。这一发现为葡萄酒酿造领域带来了全新的视角,即通过精准调控酶的种类与浓度,可以有效优化葡萄酒的香气特征。
更为重要的是,使用KMPG酶酿造的葡萄酒展现出了更为丰富、多样的香气层次。这些香气并非单纯依赖于商业制剂所能达到的效果,而是源于多种负责不同香气的化合物在葡萄酒中的共同作用。这一发现不仅拓宽了我们对葡萄酒香气来源的认识,也为酿造高品质、特色鲜明的葡萄酒提供了有力的技术支撑。
此外,研究还发现,KMPG酶在提高酵母发酵活性方面表现出色,使得发酵过程得以在更短的时间内高效完成。这一优势不仅有助于提升葡萄酒的生产效率,还可能进一步影响葡萄酒的风味形成与稳定性。综上所述,本研究不仅增进了我们对果胶酶在葡萄酒酿造中作用机制的理解,还为开发新型酶制剂、优化葡萄酒香气品质提供了宝贵的实验数据与理论依据。这些成果有望为葡萄酒行业的持续创新与升级注入新的活力。
| 名称 | 货号 | 规格 |
| PC2 (D1E1S) XP ® Rabbit mAb | 14013T | 20ul |
| Rabbit anti-APC2 Polyclonal Antibody(N-Term) | abs105896-50ul | 50ul |
| Rabbit anti-HPC2 Polyclonal Antibody | abs149301-50ul | 50ul |
| PC2 (E-8) PE | sc-374140PE | 200ug/ml |