19 年
手机商铺
技术资料/正文
130 人阅读发布时间:2025-02-28 13:44
肺部结节是临床常见的肺部病变,其中磨玻璃结节(Ground-Glass Nodule, GGN)因其特殊的影像学表现而备受关注。GGN在CT图像上呈现为密度稍高但不足以掩盖肺实质血管和支气管结构的模糊区域,其良恶性的鉴别对于临床决策至关重要。近年来,随着液体活检技术的发展,特别是细胞外囊泡(Extracellular Vesicles, EVs)及其携带的microRNA(miRNA)作为新型生物标志物的发现,为肺部结节的诊断提供了新的思路。本文将对一篇题为“Plasma extracellular vesicle microRNAs for pulmonary ground-glass nodules”的研究进行深度解析,探讨血浆EVs来源的miRNA在GGN诊断中的应用价值。

肺部结节的良恶性鉴别一直是临床上的难点。传统的诊断方法如CT扫描、穿刺活检等存在局限性,如辐射暴露、创伤性、假阴性率高等问题。因此,寻找一种无创、准确、可靠的诊断方法对于提高肺部结节的诊断效率具有重要意义。近年来,EVs作为细胞间通讯的重要媒介,其携带的miRNA在疾病的发生、发展中发挥着重要作用。本研究旨在评估血浆EVs来源的miRNA在孤立性肺部结节(Solitary Pulmonary Nodules, SPNs),特别是GGN中的诊断价值和分子特征,为GGN的鉴别诊断提供新的生物标志物。

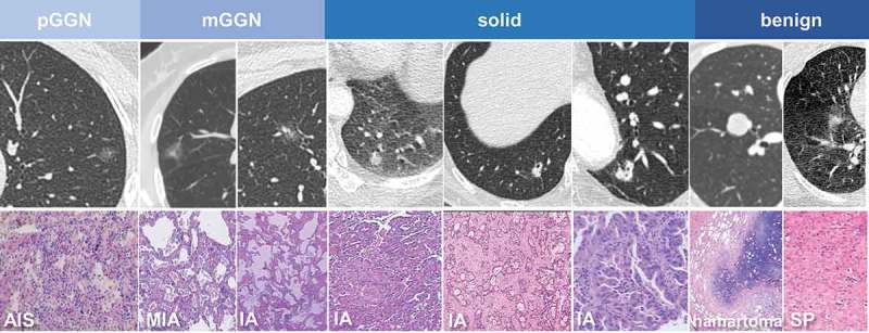
样本收集与分组:本研究纳入了59例SPN患者,其中12例为良性结节患者(训练集),另40例为额外个体(验证集)。所有患者均接受了CT扫描和血浆样本采集。根据结节的影像学特征,将结节分为纯GGN、混合GGN和实性结节三类。
EVs提取与miRNA测序:采用超速离心法从血浆中分离出EVs,并通过小RNA测序技术评估EVs中miRNA的表达谱。
数据分析与模型构建:利用目标miRNA/参考miRNA比值构建支持向量机(Support Vector Machine, SVM)模型,以区分良恶性GGN。通过训练集和验证集分别评估模型的特异性和敏感性。
主成分分析与差异表达分析:采用主成分分析(Principal Component Analysis, PCA)揭示不同类型结节的miRNA分布特征,并通过差异表达分析筛选出与肿瘤相关的miRNA。

SVM模型构建与评估:本研究成功构建了基于血浆EVs来源miRNA的SVM模型。在训练集中,最佳特异性SVM模型表现出100%的特异性,最佳敏感性SVM模型表现出100%的敏感性。在验证集中,最佳特异性SVM模型同样表现出100%的特异性,而最佳敏感性SVM模型的敏感性为96.9%。这一结果表明,血浆EVs来源的miRNA在GGN的鉴别诊断中具有很高的准确性和可靠性。
PCA分析与miRNA分布特征:PCA分析结果显示,纯GGN的分布与实性结节明显不同,而混合GGN则呈现出弥散分布。这一发现提示,不同类型的GGN在miRNA表达谱上存在差异,可能反映了其不同的生物学特性和发病机制。
差异表达miRNA筛选与功能分析:通过差异表达分析,本研究筛选出了一批在肿瘤组织中上调的miRNA,包括miR-500a-3p、miR-501-3p和miR-502-3p等。这些miRNA在肿瘤组织中的高表达可能与肿瘤的发生、发展密切相关。进一步的功能分析显示,这些miRNA可能通过调控细胞增殖、凋亡、侵袭等过程参与肿瘤的发生和发展。
生存分析:本研究还对这些差异表达的miRNA进行了生存分析。结果显示,某些miRNA的高表达与患者的总体生存率呈正相关,提示这些miRNA可能作为预后因素在肺癌的预测和评估中发挥重要作用。
本研究首次评估了血浆EVs来源的miRNA在GGN诊断中的应用价值,并成功构建了基于SVM的诊断模型。该模型在训练集和验证集中均表现出很高的特异性和敏感性,为GGN的鉴别诊断提供了一种新的、无创的、准确的方法。此外,本研究还通过PCA分析和差异表达分析揭示了GGN在miRNA表达谱上的差异,为深入理解GGN的生物学特性和发病机制提供了新的线索。
值得注意的是,本研究筛选出的差异表达miRNA不仅与肿瘤的发生、发展密切相关,还可能作为预后因素在肺癌的预测和评估中发挥重要作用。这一发现为肺癌的精准治疗和个体化治疗提供了新的思路。然而,本研究仍存在一些局限性,如样本量相对较小、缺乏多中心验证等。未来研究需要进一步扩大样本量、开展多中心验证,并深入探索这些差异表达miRNA在肺癌发生、发展中的具体作用机制。

本研究成功构建了基于血浆EVs来源miRNA的SVM模型,用于GGN的鉴别诊断。该模型在训练集和验证集中均表现出很高的特异性和敏感性,为GGN的鉴别诊断提供了一种新的、无创的、准确的方法。此外,本研究还揭示了GGN在miRNA表达谱上的差异,为深入理解GGN的生物学特性和发病机制提供了新的线索。未来研究需要进一步扩大样本量、开展多中心验证,并深入探索这些差异表达miRNA在肺癌发生、发展中的具体作用机制,为肺癌的精准治疗和个体化治疗提供新的策略和方法。
随着液体活检技术的不断发展和完善,血浆EVs来源的miRNA作为新型生物标志物在肺部结节诊断中的应用前景广阔。未来研究可以进一步探索其他类型的生物标志物(如蛋白质、代谢物等)与miRNA的联合应用,以提高肺部结节诊断的准确性和可靠性。同时,也可以开展基于多组学数据的整合分析,以更全面地揭示肺部结节的生物学特性和发病机制,为临床诊断和治疗提供更加精准和个性化的指导。
| 名称 | 货号 | 规格 |
| Alix (3A9) Mouse mAb | 2171S | 100ul |
| Calnexin (C5C9) Rabbit mAb | 2679S | 100ul |
| Anti-rabbit IgG, HRP-linked Antibody | 7074P2 | 100ul |