19 年
手机商铺
技术资料/正文
134 人阅读发布时间:2025-05-15 13:41
胰腺癌,被誉为“癌症之王”,因其高致死率、低生存率以及复杂的生物学行为而备受医学界关注。尽管根治性切除是胰腺癌患者获得长期生存的有效手段,但胰腺癌早期即可出现远处转移,导致手术切除后患者的复发率和耐药性依然较高。因此,探寻胰腺癌治疗的新突破点,尤其是术前新辅助治疗的作用机制,对于改善胰腺癌患者的预后具有重要意义。近日,复旦大学附属肿瘤医院胰腺外科虞先濬/施思团队在《Cell Reports Medicine》上发表了一项题为“Targeting neoadjuvant chemotherapy-induced metabolic reprogramming in pancreatic cancer promotes anti-tumor immunity and chemo-response”的研究成果,揭示了胰腺癌新辅助治疗疗效的“秘诀”。

胰腺癌是一种常见的恶性消化道肿瘤,其发病率逐年上升,五年生存率仅为约10%。胰腺位置隐蔽,起病隐匿,约80%的患者初诊时已为中晚期,丧失了根治性手术切除的机会。胰腺癌的生物学行为特殊,早期即可出现远处转移,导致手术切除后患者的复发率和耐药性较高。传统的治疗手段,如放疗和化疗,对胰腺癌的效果有限,且患者常出现高耐药性。因此,探寻胰腺癌治疗的新方法,尤其是术前新辅助治疗的作用机制,成为当前研究的热点。

新辅助治疗是指在手术前进行的化疗或联合化疗,旨在获得肿瘤降期、消灭亚临床转移灶,变不可切除肿瘤为可切除肿瘤,并提高胰腺癌的RO切除率,从而最终改善胰腺癌的疗效。新辅助治疗的意义在于,通过术前治疗使肿瘤体积缩小,降低手术难度,提高手术切除率;同时,新辅助治疗还可以消灭亚临床转移灶,减少术后复发和转移的风险。然而,从作用机制层面来看,术前新辅助治疗对胰腺癌带来哪些改变,这些改变又对胰腺癌产生何种影响,医学界尚缺乏系统研究。
虞先濬/施思团队是复旦大学附属肿瘤医院胰腺外科的知名研究团队,长期致力于胰腺癌的基础和临床研究。该团队拥有丰富的临床经验和深厚的科研基础,对胰腺癌的生物学特性、发病机制以及治疗策略有深入的理解。为了阐明新辅助治疗对胰腺癌的作用机制,虞先濬/施思团队开展了系列研究,旨在揭示新辅助治疗在胰腺癌微观层面产生的作用和机制,为胰腺癌的新辅助治疗提供新的策略。

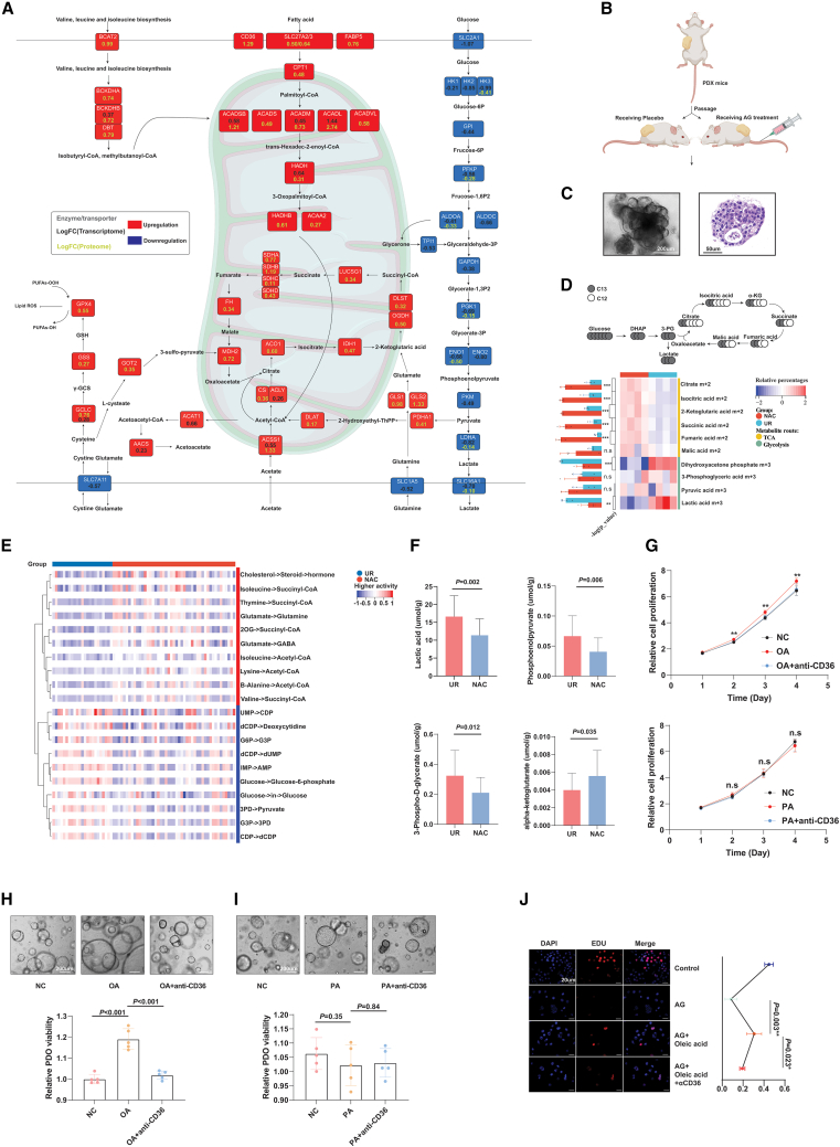
在该研究中,虞先濬/施思团队通过对经/未经白蛋白结合型紫杉醇联合吉西他滨(AG)方案新辅助治疗的胰腺癌组织进行蛋白-转录组测序以及生物信息学分析,发现新辅助治疗后上调的基因与胰腺癌患者较长的总生存期相关。这提示除了外科学获益外,新辅助治疗在微观的分子生物学角度也能为患者带来获益。
同时,通过对样本进行分子分型,研究团队发现新辅助治疗后,胰腺癌由“冷”变“热”,即“免疫热”的分子亚型比例显著升高。单细胞空间转录组测序及组织化学染色结果也提示CD8+T细胞以及TCR克隆扩增在新辅助治疗组中的比例上调。这些结果表明,新辅助治疗可以激活胰腺癌患者的免疫系统,使其对肿瘤产生更强的免疫反应。
进一步地,结合代谢组学测序以及代谢流实验的结果,研究团队发现新辅助治疗后胰腺癌的状态由“糖”转“脂”,即糖酵解水平显著降低,而脂肪酸受体CD36其配体油酸出现上调。研究团队认为,CD36的上调可能是化疗压力下胰腺癌产生的一种代偿性的代谢支流,为肿瘤细胞提供能量支持。如果阻断这一支流,有可能提高胰腺癌新辅助治疗的疗效。
为了验证这一设想,研究团队通过类器官模型及动物实验进行了进一步的研究。结果表明,靶向CD36可以显著促进抗肿瘤免疫并与AG方案产生协同作用抑制胰腺癌进展。这一结果不仅证实了研究团队的猜想,还为胰腺癌的新辅助治疗提供了全新的策略。

该研究揭示了胰腺癌新辅助治疗疗效的作用机制,为胰腺癌的新辅助治疗提供了新的策略。具体而言,该研究发现新辅助治疗可以使胰腺癌由“冷”变“热”,激活患者的免疫系统;同时,新辅助治疗还可以使胰腺癌的代谢状态由“糖”转“脂”,上调CD36的表达。通过靶向CD36,可以显著促进抗肿瘤免疫并与标准新辅助治疗方案产生协同作用抑制胰腺癌进展。这一发现为胰腺癌的新辅助治疗提供了新的靶点和治疗策略,有望提高胰腺癌患者的治疗效果和生存期。
未来,虞先濬/施思团队将继续深入研究胰腺癌的生物学特性和治疗策略,以期发现更多有效的治疗靶点和方法。同时,该团队也将积极推广新辅助治疗在胰腺癌中的应用,为更多患者带来生存希望。
胰腺癌作为一种高度恶性的肿瘤,其治疗一直面临巨大挑战。虞先濬/施思团队的研究揭示了胰腺癌新辅助治疗疗效的作用机制,为胰腺癌的新辅助治疗提供了新的策略。通过靶向CD36并联合标准新辅助治疗方案,可以显著抑制胰腺癌的进展并提高患者的治疗效果和生存期。这一发现为胰腺癌的治疗带来了新的曙光,也为未来胰腺癌的研究提供了新的方向。
随着对胰腺癌生物学特性及行为的深入认识以及新型化疗药物、靶向药物和免疫治疗药物的不断发展,胰腺癌的治疗将更加精准和有效。多中心、大样本的前瞻性研究将进一步验证新辅助治疗在胰腺癌中的应用效果,并为更多患者带来生存希望。虞先濬/施思团队的研究不仅为胰腺癌的治疗提供了新的策略和方法,也为医学界树立了榜样,鼓励更多研究人员投身于胰腺癌的研究和治疗中,共同为攻克这一“癌症之王”而努力。
| 名称 | 货号 | 规格 |
| Mouse IFN-γ ELISA Kit | abs520007-96T | 96T |
| Recombinant Human IL-2 Protein | abs04045-50ug | 50ug |
| Recombinant Human IL-2 Protein | abs04045-10ug | 10ug |
| Human IFN-γ ELISA Kit | abs510007-96T | 96T |